Úlcera péptica ¿Duodenal o Gástrica?

úlcera 1
Una úlcera es la pérdida de integridad de la mucosa, ya sea duodenal o gástrica, lo que produce una lesión de tipo excavación llegando a la submucosa debido a la inflamación activa, siendo una enfermedad de origen multifactorial. Afecta a aproximadamente el 10% de la población en algún momento de su vida, con un pico de incidencia entre los 55 a 65 años de edad, presentándose rara vez antes de los 40 años de edad, aunque esto depende del estilo de vida y los antecedentes de cada individuo, por lo que en la actualidad se ha evidenciado una elevada incidencia en adultos jóvenes.

La úlcera puede afectar al duodeno o al estómago, ambas comparten ciertas similitudes en cuanto a patogenia, diagnóstico y tratamiento, pero hay algunos factores que las diferencian, es por eso que se hablará de cada una de ellas por separado.

úlcera 1


Úlcera Duodenal:

Se producen en el 6 al 15% de la población, pero en las últimas décadas ha habido un descenso en cuanto a su incidencia y esto es atribuible a la erradicación eficaz de las infecciones por Helicobacter pylori.

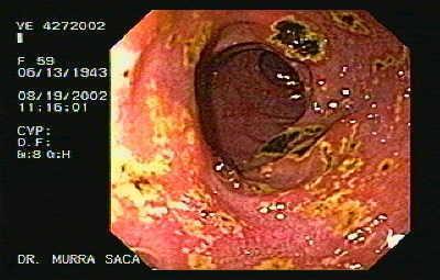
Características Anatomopatológicas: La úlcera duodenal suele asentarse en la mayoría de los casos en la primera porción del duodeno, y generalmente mide ≤ 1 cm de diámetro, son bien delimitadas y a veces su profundidad puede alcanzar la muscular propia y en cuanto a su base, está formada por necrosis eosinófila con fibrosis circundante.

úlcera duodenal


Fisiopatología: La infección por H. pylori y los AINES son los que se asocian con mayor frecuencia al desarrollo de una úlcera duodenal; la Helicobacter pylori pertenece a un grupo de bacterias que son capaces de sobrevivir en el medio gástrico, colonizando la mucosa gástrica y provocando el daño a través de la producción de proteínas de membrana externa, ureasas (generando amoniaco a partir de la urea, alcalinizando el pH del medio), citotoxina vacuolante, catalasa, lipasa, adhesina y factor activador de plaquetas y, además la bacteria altera la secreción de los jugos gástricos aunque aún no se conoce exactamente por cuáles mecanismos, favoreciendo de esta manera no sólo la aparición de úlcera gástrica sino también de úlcera duodenal, aunque sólo se asocian de un 10-15% de los casos a esta infección; determinada por la relación existente entre los factores del huésped y de la bacteria.

Factores de la bacteria: La H. pylori es capaz de modificar el medio para poder habitar allí, induce lesión de la mucosa y además evita los factores de defensa del hospedador; ocasiona lesión de las células epiteliales (a través de la producción de amoniaco y por generación de factores quimiotácticos de superficie), reducen la eficacia del gel que protege a la mucosa (siendo esta la primera línea de defensa, mediante la producción de proteasas y fosfolipasas), se fijan a las células epiteliales del estómago (por la producción de adhesinas).

Factores del hospedador: La bacteria ocasiona daño local al unirse a moléculas del complejo principal de histocompatibilidad, ocasionando apoptosis y hay una mayor concentración de citocinas (IL-1, IL-2, IL-6, IL-8, FNT-α e IF-γ).
Todos estos mecanismos explicados anteriormente, se aplican más en el caso de una úlcera gástrica, ya que aún no se conocen los mecanismos exactos por lo cuáles se produce una úlcera duodenal.

En cuanto a los AINES, estos son fármacos frecuentemente utilizados durante toda la vida de las personas, debido a su amplio espectro de acción como antipiréticos, analgésicos y antiinflmatorios; como se sabe, ellos actúan inhibiendo la producción de prostaglandinas, lo que genera mayor producción de ácido clorhídrico (factor agresor de la mucosa), menos secreción de mucina y de bicarbonato (factores protectores de la mucosa) y menor proliferación celular epitelial (lo que no permite un recambio celular apropiado).

Úlcera Gástrica:

Este tipo de úlcera suele aparecer en etapas más tardías de la vida en comparación con la duodenal, con un pico de incidencia máximo en la sexta década de la vida, es menos frecuente que la úlcera duodenal y hay una mayor prevalencia en el sexo masculino.

Características Anatomopatológicas: Al contrario que una úlcera duodenal, la úlcera gástrica puede ser maligna; las úlceras gástricas benignas son muy raras y tienen similitudes histológicas con las duodenales. La úlcera gástrica suele ser única, de forma redondeada u oval, siendo su diámetro generalmente < 3 cm.

úlcera gástrica


Fisiopatología: Al igual que en el caso de una úlcera duodenal, la úlcera gástrica se suele atribuir a la infección por Helicobacter pylori o a una lesión ocasionada por el uso de AINES; por lo que la fisiopatología es la misma previamente desarrollada en la úlcera duodenal.

¿Otras causas de úlcera?

A pesar de que los factores etiológicos mas frecuentemente asociados al desarrollo de una úlcera ya sea gástrica o duodenal son la infección por Helicobacter pylori y el uso de AINES a altas dosis o por tiempo prolongado, hay otras causas como:

Infecciones (por citomegalovirus, virus del herpes simple).

Toxinas u otros fármacos (quimioterapia, clopidogrel, crack).

Otras (isquemia, radioterapia, obstrucción duodenal, enfermedades infiltrativas).
Manifestaciones Clínicas de una úlcera:

Dolor abdominal: Lo más característico que presenta un paciente con una úlcera es el dolor abdominal localizado en epigastrio de carácter urente o lacerante; en casos de úlcera duodenal el dolor aparece 90 minutos a 3 horas antes de una comida y a menudo se alivia con alimentos o antiácidos; en cuanto a una úlcera gástrica el dolor abdominal es desencadenado con la ingesta de alimentos asociándose a su vez náuseas y pérdida de peso.

Examen físico: En casos de una úlcera no complicada no suelen haber hallazgos tan importantes, pero se puede observar hiperestesia epigástrica y en casos más avanzados dolor a la palpación profunda. Esencialmente el examen físico esta dirigido a detectar complicaciones ocasionadas por una úlcera, entre las cuales están:

Hemorragia: Sospechar cuando el paciente presenta palidez cutáneo mucosa, taquicardia, signos de deshidratación.

Perforación: Sospechar cuando el paciente presente signos de irritación peritoneal, como abdomen en tabla.

Estenosis pilórica: Es decir, hay obstrucción del orificio de salida gástrico.
Diagnóstico de una úlcera:

Se debe tener en cuenta que las manifestaciones clínicas suelen presentarse en otras patologías y no sólo en caso de úlcera, por lo que es necesario realizar estudios de imágenes que confirmen el diagnóstico, comenzando esencialmente con una radiografía  con contraste único o doble, pero a pesar de que este estudio permite identificar la presencia de una úlcera ya sea duodenal o gástrica, no aporta datos acerca de su posible malignidad, y es por eso que se recomienda realizar una endoscopia con su consiguiente biopsia, siendo el método diagnóstico más sensible y específico incluso detectando lesiones muy pequeñas que no se evidencian en los estudios radiológicos. De manera indirecta, se puede realizar un posible diagnóstico demostrando la presencia de la Helicobacter pylori en la persona, pero esto no es muy específico.

Hay muchas patologías que ocasionan dolor abdominal con las mismas características clínicas que el ocasionado por una úlcera, entre ellas tenemos:

Dispepsia: Son un grupo de trastornos que se caracterizan por presentar dolora abdominal, pero sin úlcera; por lo que el diagnóstico se establece realizando un estudio de imagen.

Reflujo gastroesofágico.

Enfermedad pancreaticobiliar (como litiasis biliar, pancreatitis crónica).
Tratamiento de una úlcera:

El tratamiento está orientado a controlar la fisiopatología de la úlcera, por lo que incluye varias clases de fármacos que deben funcionar en conjunto para tener un buen control de la úlcera y evitar las posibles complicaciones, entre ese grupo de fármacos tenemos:

Antagonistas de los receptores H2 de la histamina: Los fármacos de este grupo inhiben la secreción ácida tanto basal como estimulada y en dosis adecuadas colaboran en la cicatrización; se incluyen la cimetidina (de indicación en pacientes ansiosos), ranitidina (la cual está contraindicada en casos de insuficiencia renal), famotidina (la cual tiene menos efectos adversos), deben utilizarse de 4 a 6 semanas.

Inhibidores de la Bomba de protones: Donde se incluyen el omeprazol, el esomeprazol, el lansoprazol y el pantoprazol (siendo el que tiene más efectividad); estos son los agentes antiácidos más potentes actualmente.

Citoprotectores: En este grupo destacan el sucralfato (el cual permite la cicatrización de la úlcera y proyecta una capa de moco que la protege de agentes agresores, se describen muy pocos efectos adversos con su uso y debe evitarse en pacientes con insuficiencia renal crónica) y los análogos de las prostaglandinas (mantiene la capa mucosa y la repara, aumentando la producción de bicarbonato y moco).

Erradicación de la Helicobacter pylori: Si se cumple con todo el tratamiento anterior pero no se erradica la bacteria, la úlcera va a seguir persistiendo y es por esto la importancia de cumplir con el régimen para eliminar a la H. pylori; hay dos esquemas de terapia triple, el primero consiste en la combinación de dos antibióticos y un inhibidor de la bomba de protones (Claritromicina, amoxicilina, Omeprazol) y el segundo (Metronidazol, claritromicina y Omeprazol).
Es sumamente importante que luego de establecerse el diagnóstico de una úlcera péptica, se cumpla con el tratamiento tal cual lo indique el especialista, con el objetivo de evitar las complicaciones asociadas a la patología que ponen en peligro la vida del paciente.

La entrada Úlcera péptica ¿Duodenal o Gástrica? aparece primero en Mega Medico.

¿Vulnera este post tus derechos? Pincha aquí.
Creado:
¿Qué te ha parecido esta idea?
Esta información nunca debe sustituir a la opinión de un médico. Ante cualquier duda, consulta con profesionales.

Esta idea proviene de:

Y estas son sus últimas ideas publicadas:

Recomendamos

Relacionado

Digestivo

ÚLCERA PÉPTICA O ÚLCERA DE ESTÓMGO QUÉ ES LA ÚLCERA PÉPTICA La úlcera péptica es una herida o lesión de la capa más externa del estómago o del duodeno, que se llama mucosa, y la atraviesa hasta llegar a la capa muscular del estómago. Téngase en cuenta que cuando hablamos de la capa más externa del estómago, nos estamos refiriendo a la capa que da a la zona donde se encuentran los alimentos, cuando ...

consejos de salud dolores comunes enfermedades digestivas ...

La enfermedad ulcerosa péptica son defectos focales de la mucosa gástrica o duodenal que se extienden hasta la submucosa o hasta una capa más profunda. Pueden ser agudas o crónicas y se deben a un desequilibrio entre la acción del ácido péptico y las defensas de la mucosa La úlcera péptica sigue siendo un diagnóstico común entre pacientes ambulatorios aunque el número de visitas médicas, ingresos ...

remedios caseros medicina natural general

La úlcera gástrica son lesiones en la mucosa estomacal, enfermedad crónica que puede ser causada por herencia genética, por bacterias como el hilicobacter pylori, abuso de medicamentos, el alcohol, el tabaco o por llevar una dieta poco saludable. Quienes padecen de úlcera gástrica sufren de dolores y ardor, sobre todo después de comer, la molestia puede durar horas y agravarse con el estómago vací ...

úlcera úlcera péptica úlcera de estómago ...

Una úlcera péptica es una herida o erosión que se forma en la mucosa del estómago, siendo esto una úlcera gástrica, o en el duodeno, que es la parte superior del intestino delgado, la parte de intestino unida al estómago directamente, en este caso siendo conocido como úlcera duodenal. Durante muchos años se consideró que la causa de la aparición de esta erosión era porque la persona que la padecía ...

Salud diagnóstico dieta ...

Libro Estilo de Vida Saludable de la Dra Paloma Pérez del Pozo LA ÚLCERA GÁSTRICA La úlcera gástrica o duodenal es la erosión de la pared del estómago o duodeno producida por la bacteria helycobacter pylori, un alimento o un medicamento. Las úl­ceras empeoran con el estrés, el consumo de tabaco y alcohol y algu­nos patrones de alimen­tación inestables. Los síntomas son: El principal es el dolor, q ...

ulcera dolor estomacal enfermedades ...

Hola amigas y amigos! hoy les traigo un interesante tema de salud se trata de como curar la ulcera gástrica con remedios caseros. Una úlcera estomacal o gástrica es una lesión de una zona de la mucosa del estómago. Esta patología implica el daño en las capas profundas de la pared estomacal, normalmente en una zona conocida como pequeña curvatura. Es una de las enfermedades más frecuentes del estó ...

salud

Tipos de Úlceras ÚLCERA, Consejos Causas Tratamiento y Síntomas; La ulcera es una enfermedad que reacciona de diferentes maneras; Una úlcera o llaga proviene del latín ULCUS; que es toda aquella lesión causada por accidente, o por reacción secundaria, como efecto de otra muy variada; es una lesión abierta o membrana mucosa con perdida de sustancia o liquido. cuando es en la piel la lesión podemos ...

duodeno enfermedades estomago ...

La úlcera gástrica es una enfermedad importante del estómago o del duodeno, traducida en una lesión de las mucosas que los recubren y que los tornan vulnerables a los ácidos estomacales y gérmenes. Causas Entre las causas posibles podemos enunciar: alimentación incorrecta, alcohol, tabaco, bebidas estimulantes en general, malas combinaciones de alimentos, estrés, mala masticación de los alimentos, ...

Enfermedades dolor abdominal gastroenterologia pediatrica ...

La enfermedad ulcerosa péptica, el resultado final de la inflamación debida a un desequilibrio entre factores citoprotectores y citotóxicos en el estómago y duodeno, se presenta con diversos grados de gastritis o de franca ulceración. La patogenia de la enfermedad ulcerosa péptica es multifactorial, pero la vía final común para el desarrollo de úlceras es la acción del ácido y de los contenidos ca ...

Pediatría carcinoma gástrico dolor abdominal ...

El Helicobacter pylori es un bacilo gramnegativo que produce ureasa, el cual es el principal agente causal de la gastritis crónica, además de ser un factor necesario para la producción de úlcera gástrica y duodenal, por lo que a su vez se relaciona directamente con el cáncer gástrico. La infección por Helicobacter pylori se puede presentar en todas las edades y su distribución es mundial, esto en ...