Malformación de Chiari

La malformación de Chiari es un defecto estructural en el cerebelo. Esa es la parte del cerebro que controla el equilibrio.

En una situación normal, el cerebelo y parte del tallo cerebral se posan en un espacio ubicado por encima del orificio llamado foramen magno. Cuando se presenta la malformación, el cerebelo se ubica por debajo del foramen magno aumentando la presión sobre los nervios y tejidos en la zona.

La malformación de Chiari es un defecto estructural en el cerebelo


Los científicos pensaban que las malformaciones de Chiari ocurrían en 1 de cada 1,000 nacimientos, pero las nuevas técnicas de diagnóstico por imágenes, como las tomografías computarizadas (TC) y las imágenes por resonancia magnética (IRM), sugieren que la afección es mucho más común.

Las estimaciones precisas son difíciles de hacer, porque algunos niños nacen con la enfermedad y nunca desarrollan síntomas o desarrollan los síntomas en la adolescencia o la edad adulta. Igualmente, se ha comprobado que las malformaciones de Chiari afectan a las mujeres con más frecuencia que a los hombres.

Existen cuatro tipologías del Síndrome de Arnold Chiari. Son enfermedades raras, pero la primera de ellas (tipo I) es la más común y menos grave que el resto.

Otras enfermedades que se asocian a esta malformación son: hidrocefalia, espina bífida, siringomielia y el  síndrome de médula anclada. Es frecuente observarla en adolescentes o adultos.

¿Cómo se clasifican las malformaciones de Chiari?

A finales del siglo XIX, el patólogo y también profesor Hans Chiari, descubrió anomalías del cerebro, entre la unión del cráneo y la columna vertebral. Estas fueron clasificadas por orden de severidad, como tipo I, II, III y IV, sin embargo, la malformación de tipo I es la mas común.

Malformación de Chiari. Tipo I

Es la que ocurre durante el desarrollo fetal. Se caracteriza por el desplazamiento hacia debajo de las amígdalas cerebelosas hacia el canal espinal cervical, por aproximadamente, cuatro milímetros. Debido a este desplazamiento se bloquean la circulación normal de líquido cefalorraquídeo (LCR) entre el canal espinal y el espacio intracraneal.

Anomalías presentes en la malformación de Chiari

La malformación de Chiari fue clasificada por orden de severidad


Tipo I

En la malformación de Chiari tipo I, se observan anomalías en la base del cráneo y la columna vertebral entre el 30 y 50 por ciento de los pacientes. Éstas incluyen:

Compresión en la base del cráneo y en consecuencia compresión resultante del tronco encefálico.

Unión ósea de la vértebra C1 a la base del cráneo

Fusión parcial de las vértebras C1 y C2 de la columna vertebral

Unión congénita o fusión dentro del cuello con posible malformación asociada de los niveles superiores de la columna cervical (Deformidad de Klippel-Feil)

Espina bífida oculta cervical

Presencia de escoliosis, especialmente en niños con espinas inmaduras
Tipo II

En la malformación de Chiari tipo II, se observa un desplazamiento hacia debajo de la médula, el cerebelo y el cuarto ventrículo en el canal espinal cervical. Generalmente ocurre en pacientes con mielomeningocele (afección congénita durante el desarrollo fetal, donde la médula espinal y la columna no se cierran adecuadamente).

Tipo III

En la malformación de Chiari tipo III, se aprecia disrafismo en una porción del cerebelo y/o tronco encefálico. No obstante, esta malformación es muy rara. Existe una alta tasa de mortalidad temprana en los infantes que la padecen y aquellos que logran sobrevivir presentan déficits neurológicos severos.

Se intenta el cierre quirúrgico temprano del defecto como tratamiento. La malformación puede venir acompañada por defectos de nacimiento severos, que pueden requerir un tratamiento extenso. Pero, como mencionamos anteriormente, los bebés pueden tener complicaciones potencialmente mortales.

Tipo IV

La malformación de Chiari tipo IV es la forma más grave y la más rara. Ocurre cuando el cerebelo no se desarrolla normalmente. Los bebés con esta malformación, difícilmente pueden superar la infancia.

Síntomas de la malformación de Chiari

Los sintomas de la malformación de Chiari están relacionados con la formación de una siringe


Tipo I

En algunos casos no presenta síntomas. Muchos de los síntomas están relacionados con la formación de una siringe. Sin embargo, cuando estos se manifiestan pueden ocurrir solo o en combinación de los siguientes:

Dolor de cabeza que se origina en la base del cráneo, que empeora al estornudar o toser

Mareos y problemas de equilibrio

Debilidad muscular en brazos y manos. En otros casos se presenta tensión muscular

Apnea del sueño

Problemas visuales, como: hipersensibilidad a la luz, visión doble o borrosa
Tipo II

Los síntomas están relacionados con el mielomeningocele o la hidrocefalia, tales como:

Períodos de apnea o alteración en el ritmo normal de respiración

Nauseas

Debilidad y pérdida de la fuerza en los brazos

Movimientos oculares involuntarios
Tipo III

Los síntomas aparecen en la infancia y vienen acompañados de complicaciones potencialmente mortales. Se presentan los mismos síntomas de la malformación tipo II, pero con defectos neurológicos como retraso mental y convulsiones.

Tipo IV

Escoliosis

Pérdida de sensibilidad, incluyendo el calor y frío

Fuerte dolor general, especialmente en la cabeza

Pérdida del control del intestino y la vejiga

Gran debilidad muscular y espasticidad
Para diagnosticar la malformación de Chiari existen varias pruebas
Diagnostico para detectar Chiari

Para diagnosticar la malformación de Chiari existen varias pruebas que pueden determinar, incluso de que tipo se trata. Veamos cuales son:

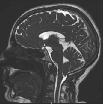
Imagen de resonancia magnética (IRM). Es la primera prueba de diagnóstico debido a que produce imágenes tridimensionales. Ofrece una vista precisa del cerebelo, la médula espinal y el cerebro, con esta prueba se puede definir el alcance de las malformaciones e incluso distinguir la progresión.

Tomografía computarizada (TC o TAC). Esta prueba utiliza los rayos X para crear una imagen. Con ella se puede definir el tamaño de los ventrículos cerebrales y mostrar un bloqueo, si lo hubiera. Se pueden evaluar las anomalías óseas en la base del cerebro y el canal cervical.

Miograma. El proceso consiste en inyectar un material de contraste, para tomar una radiografía del canal espinal. La finalidad es mostrar la presión que ejerce a malformación sobre la médula espinal o los nervios. Es una prueba poco frecuente.

Análisis del sueño. Se hace dormir al paciente en una habitación especial, donde se puede controlar la actividad respiratoria, niveles de oxigenación y posibles convulsiones para evidenciar apnea del sueño.

Examen de deglución. Mediante rayos X se observa el paso del alimento por la faringe para determinar alguna anomalía que sugiera una disfunción del tallo cerebral inferior.

La malformación de Chiari tiene una variedad de causas diferentes
Causas de la malformación de Chiari

La malformación de Chiari tiene una variedad de causas diferentes. En la mayoría de los casos se ha determinado causa congénita. Durante el desarrollo fetal se detectan defectos estructurales en el cerebro y la médula espinal. Podría estar causado por mutaciones genéticas o por una inadecuada dieta con déficit de vitaminas y nutrientes durante el embarazo.

Tratamientos para las malformaciones de Chiari

El tratamiento de la malformación de Chiari depende del tipo exacto de malformación, así como de la progresión y síntomas presentados.

No se siguen tratamientos para la malformación asintomática (generalmente de tipo I). Si la malformación es sintomática, se puede seguir un tratamiento siempre y cuando se determine que no existen complicaciones con hidrocefalia.

El tratamiento de la malformación de Chiari depende del tipo exacto de malformación


El tratamiento quirúrgico depende del grado de compresión u otras anomalías. La malformación de Chiari I se puede tratar quirúrgicamente con descompresión local de los huesos superpuestos y liberación de la duramadre. En algunos pacientes se requerirá fusión espinal cervical.

La descompresión de la malformación de Chiari II se trata de manera similar, pero se limita a descomprimir los tejidos del canal espinal. Esta descompresión se lleva a cabo bajo anestesia general.

Esta cirugía tiene el objetivo de descomprimir eficazmente el tejido nervioso y reconstruir el flujo normal del líquido cefalorraquídeo alrededor y detrás del cerebelo.

La cirugía no es garantía de éxito en cada individuo. Los daños a los nervios ocurridos por la malformación no se pueden revertir. Algunos pacientes necesitan más de una cirugía y en algunos casos no se logra el alivio de los síntomas.

The post appeared first on Columna Vertebral.

Fuente: este post proviene de Columna Vertebral, donde puedes consultar el contenido original.
¿Vulnera este post tus derechos? Pincha aquí.
Creado:
¿Qué te ha parecido esta idea?
Esta información nunca debe sustituir a la opinión de un médico. Ante cualquier duda, consulta con profesionales.

Esta idea proviene de:

Y estas son sus últimas ideas publicadas:

Recomendamos

Relacionado

malformacion chiari chiari i ...

Eslasalud.com Artículo completo: En esta ocasión me siento a escribir sobre un defecto estructural del cerebelo con el que por desgracia nací. Su nombre, poco familiar para aquellas personas que no conozcan a nadie con él, es Malformación de Chiari, y considerada como enfermedad rara, consiste en la ubicación anormal del cerebelo en la base del cráneo, con descenso del vermis por el fora ...

Enfermedades Raras Fisioterapia Salud Mental ...

En ocasión del Día Mundial del Síndrome de Arnold-Chiari, el 28 de septiembre, en nuestra sección #investigacionrara, la Dra. Nathalie Orens, Licenciada en Medicina y Cirugía, nos habla sobre este síndrome, una enfermedad congénita del sistema nervioso central. ¿En qué consiste el Síndrome de Arnold-Chiari? Se trata de una enfermedad congénita, o sea, que se encuentra presente desde el nacimiento ...

#compromisoenfermedadesraras #enfermedadespocofrecuentes Dra. Nathalie Orens ...

La Espina Bífida es una Enfermedad Rara. Se calcula que en Europa su prevalencia es de unos 5 nacimientos sobre 10.000. En este artículo, la Dra Orens, nos acerca esta patología para entenderla un poco mejor. Lee estos artículos sobre otras enfermedades raras IST con las ER ¿En consiste estar afectado/a de Espina Bífida? La Espina Bífida resulta de un defecto del tubo neural en el primer trim ...

Escoliosis causas de la escoliosis Cirugia de escoliosis ...

La enfermedad de la sección del filum terminale en escoliosis, consiste en una forma de síndrome neuro – cráneo – vertebral.  Es causado por una anomalía congénita de un filum terminale aparentemente normal, pero que causa una tracción a la médula espinal y al resto del sistema nervioso. El filum terminale, es un hilo muy fino localizado de la médula espinal, que termina en la base del ...

chiari criticine #enfermedad rara ...

Qué mejor título que Luces , para abrir los ojos al mundo y mostrar lo que implica vivir con una enfermedad rara. Una bonita manera de dar visibilidad a una enfermedad que hasta hace muy poco, dejaba en completo desamparo a tantos afectados. Desconocimiento, diagnósticos tardíos, casos intratables…muchos hemos tenido suerte de contar con profesionales cualificados que han sabido conducir nue ...

enfermedades enfermedades columna vertebral dolor columna vertebral

Nuestra columna vertebral está formada por 26 huesos que reciben el nombre de vértebras. Estas tienen el objetivo de dar protección a la médula espinal, al mismo tiempo que nos permiten estar de pie o inclinarnos cuando lo deseemos. Hay algunos tipos de enfermedades o dolencias que pueden afectar a la zona de la columna vertebral, y que puede tener diversos factores cómo: desgaste del tejido óseo, ...

salud #cabeza #cuerpo ...

Antes de hacer un análisis completo de lo que es el síndrome cerebeloso debemos entender cómo funciona esa estructura a la que llamamos cerebelo y el cual su principal función es lograr que los movimientos sean uniformes y coordinados. Digamos que es la máquina que impide que parezcamos patos mareados. Pero aprendamos un poco más de su funcionamiento. Hola, soy el cerebelo Estoy ubicado por detrás ...

A pesar de establecerse un plan para erradicar la enfermedad, la poliomielitis aún está un poco lejos de alcanzar este estatus; sobre todo porque en el 2014 empezaron a registrarse casos en zonas en donde la enfermedad no era propia de la zona. La poliomielitis es una enfermedad que afecta principalmente al sistema nervioso, y sus efectos en el sistema musculoesquelético son notorios. Este artícul ...

escoliosis escoliosis congénita escoliosis degenerativa ...

Existen diferentes tipos de escoliosis. Estas se clasifican según su causa y el momento en que se diagnostica la deformación. La forma de escoliosis que se presenta con más frecuencia es la escoliosis idiopática del adolescente, que es un caso de escoliosis sin causa evidente y su diagnóstico se realiza durante la adolescencia. La escoliosis no tiene una sola causa, y puede aparecer de manera dife ...

consejos de salud enfermedades comunes enfermedades ...

La incidencia de hemiplejía debida a trastornos vasculares en niños como lo es la trombosis es de 1-3/100.000 al año. Las causas de ictus en la edad pediátrica son diferentes a las del adulto. Los tipos de trombosis incluyen la trombosis arterial y venosa, hemorragia intracraneal, embolia arterial, así como otras enfermedades. En los niños, la causa del ictus se establece en alrededor de un 75% de ...