Bruxismo, todo lo que necesitas saber

Bruxismo dental
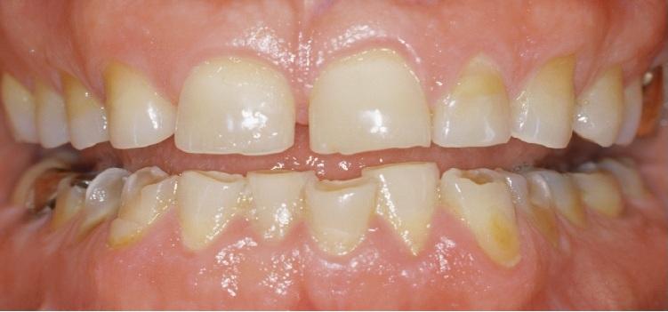
El bruxismo es el apretar y el rechinar de los dientes. Si usted siente dolor en los músculos faciales, o experimenta dolores de cabeza muy fuertes puede estar presentando esta patología; el bruxismo puede llegar a ocasionar daños en las unidades dentarias, que estas se aflojen, llegando a destruir el hueso que sostiene los dientes, causando problemas en articulación temporomandibular (ATM).
Para muchas personas, esta patología es un acto inconsciente del ser humano puede que usted mismo no se dé cuenta de que lo padece, ya que suele suceder mientras duermes, así que lo más probables es que alguien más le diga de su problema; también puede observar desgaste de de sus dientes o fracturas ya que las fuerzas emitidas, son fuerzas que no son controladas y son mucho más fuertes que las fuerzas normales masticatorias, el bruxismo puede presentarse con dolor facial, dolor muscular, dolor de cabeza; el especialista más indicado para diagnosticar el bruxismo es el odontólogo si cree que padece de esta patología no dude en visitarlo.
Bruxismo dental


Todo lo que necesitas saber sobre el bruxismo.

¿Qué es bruxismo?

El bruxismo es el apretar (contactar dientes superiores con inferiores con mucha fuerza), o el rechinar de los mismos (deslizarlos unos sobre otros hacia adelante y hacia atrás).

Hay que señalar que existen 2 tipos de bruxismo, que son céntrico y excéntrico.

• Bruxismo céntrico o diurno: es en el que solo ocurre el apretamiento de los dientes. Provoca abfracciones cervicales, generalmente se observa en los cuellos de los premolares. Además está acompañado de dolores de cabeza por la tensión provocada, y dolor muscular, este se presenta durante el día, el paciente lo hace de manera inconsciente, durante periodos de estrés en el trabajo
• Bruxismo excéntrico o nocturno: es donde ocurre el rechinamiento o el frotamiento, este daña el borde incisal de los dientes anteriores, y las caras oclusales de los posteriores.
Ambos tipos pueden presentarse en un solo paciente, y las características en las unidades dentarias pueden estar o no presente, todo va a depender de la intensidad con las que se hagan los movimientos.
Existen diferentes grados de afectación.
Grado I: es una presentación incipiente, ha estado presente por un corto periodo de tiempo, lo que no ha permitido cambios considerables, puede ser inconscientemente, es reversible ya que aparece y desaparece por si solos, puede estar condicionado a factores dentro de la boca que pueden ser modificados. La ansiedad puede no estar presente dentro del paciente.
Grado II: en este grado la ansiedad si está presente, el habito se encuentra establecido, cuando se presenta es inconsciente para el paciente, puede ser reversible si no es tratado puede llegar al grado III.
Grado III: es un hábito altamente poderoso, las lesiones de las estructuras dentales son muy evidentes, es un hábito ya irreversible, igualmente puede ser tratado, pero ya la afectación dentaria es bastante avanzada, y quizás el daño a la articulación temporomandibular es mayor. Generalmente este paciente ya es candidato para una cirugía.

¿Cómo puedo saber qué es lo que está causando el bruxismo?

Generalmente el bruxismo puede ser ocasionado por estrés; sin embargo el especialista es el encargado de esta patología, este por medio de preguntas precisas podrá diagnosticar que está ocasionando el problema y se puede minimizar mas no erradicar por completo, el bruxismo va a depender de los niveles de estrés a los que esté sometido cada persona en su día a día.
El bruxismo nocturno que es el relacionado con el sueño, suele ser el más difícil de controlar.
No solo el estrés es el causante del bruxismo, también puede deberse a si los dientes están desalineados, la postura, la dieta, hábitos al dormir, contactos oclusales prematuros, alguna anomalía de la articulación temporomandibular.

¿Cuáles son los síntomas que puedo tener con el bruxismo?

El apretar los dientes ejerce presión sobre los músculos de la masticación, y otras estructuras alrededor de la mandíbula. El rechinar provoca el desgaste de los dientes y puede ser tan fuerte que molesta el sueño de las personas a su alrededor.
Los síntomas del bruxismo
• Estrés
• Ansiedad
• Depresión
• Dolor de oído
• Dolor de cabeza
• Trastornos alimenticios
• Dolor muscular
• Insomnio

¿existen algunas pruebas o exámenes para diagnosticar el bruxismo?

El odontólogo puede hacerte una evaluación clínica, palpación de los músculos de la masticación, que son los que por lo general se ven afectados y adoloridos, desgaste dental a través del rechinar, fracturas, los daños a la articulación temporomandibular a través de una radiografía condilar.

¿Cómo puedo tratar el bruxismo para evitar lesionar mis dientes?

Lo más recomendable es tratar de disminuir los niveles de estrés, cualquier método para disminuir el estrés puede ayudar, escuchar música, caminar, leer o tomar un baño, te de Jamaica, también puedes colocarte una toalla húmeda tibia en la cara para disminuir el dolor muscular por apretar los dientes; se pueden rebajar las cúspides de los dientes que estén muy altos, porque una mordida dispareja donde los dientes no ocluyen bien también pueden ocasionar el bruxismo; también puede ser corregido con restauraciones nuevas, coronas, o tratamiento ortodoncico (aparatología). También puede ser utilizado protectores bucales o también llamado guarda para proteger tus dientes durante las noches; aunque no soluciona el problema.
El objetivo del tratamiento es minimizar los daños causados por esta patología, por lo que se recomienda:
• Aplicar hielo o calor húmedo en los músculos afectados, ya que estos pueden encontrarse inflamados y así podrán desinflamarse y disminuir el dolor.
• Evitar consumir alimentos muy duros.
• Evitar los chicles.
• Tomar mucha agua.
• Dormir las horas que necesita tu cuerpo.
• Ejercitarte todos los días para liberar estrés.
• Masajear todos los músculos de la masticación y del cuello que puedan verse afectados para relajarlos.
• Hacer la relajación facial un hábito.

¿Cómo se cuándo debo acudir a un especialista?

Debes acudir inmediatamente a un especialista si estas dificultades para abrir y cerrar la boca y para comer. Para obtener una evaluación más completa, y saber qué tipo de tratamiento ameritas. No existe una especialidad reconocida en odontología para el tratamiento de la articulación temporomandibular. Todo odontólogo que tenga experiencia con estos trastornos tomara radiografías y recetara un protector bucal. La cirugía se considera una última opción.
Para evitar los daños de los dientes es recomendable el uso de protectores bucales (férulas). Una férula bien ajustada puede ayudar a disminuir esta patología, más sin embargo muchos pacientes han reportado que mientras el uso de férula se sienten mejor, más si suspenden su uso vuelven aparecer los síntomas. Estos dispositivos están diseñados para llevar la mandíbula a una posición más posterior y superior con respecto a la cavidad glenoidea, ósea una posición ideal donde la mandíbula más relajada. Existen férulas para los dientes superiores, otras para los dientes inferiores, y otras para dientes únicamente anteriores, donde los posteriores de igual forma se van a mantener separados bajo la teoría de que la mayoría de los rechinamientos suceden en esa zona posterior. La cirugía debe ser considerada en el último recurso.
Han existido muchos métodos para ayudar a las personas abandonar este habito sin embargo se han conseguido más efecto en el bruxismo diurno que en el nocturno.
Dentro de las expectativas que puedes tener ante esta patología o comportamiento como algunos le llaman, te puedo decir que no es un trastorno peligroso mientras sea controlado y se vigile de cerca, ya que las fuerzas oclusales ejercidas durante la noche pueden ser demasiado fuertes, y lograr dañar o lesionar el ligamento periodontal, produciendo la movilidad dentaria y hasta la perdida de la unidad dentaria.

La entrada Bruxismo, todo lo que necesitas saber aparece primero en Mega Medico.

¿Vulnera este post tus derechos? Pincha aquí.
Creado:
¿Qué te ha parecido esta idea?
Esta información nunca debe sustituir a la opinión de un médico. Ante cualquier duda, consulta con profesionales.

Esta idea proviene de:

Y estas son sus últimas ideas publicadas:

Recomendamos

Relacionado

dientes apretar rechinar ...

Médicamente llamado bruxismo, es cuando los dientes se aprietan y rechinan, siendo por esto común que las piezas dentales pueden dañarse y que puedan surgir complicaciones asociadas a la salud oral; este padecimiento es producido por la contracción rítmica, repetitiva y violenta de los músculos dedicados a la tarea de masticar, generalmente se realiza durante el sueño, aunque también puede ocurrir ...

general consejos sobre salud fisioterapia - tratamientos ...

Se padece de Bruxismo es cuando se aprietan fuertemente los dientes (bruxismo céntrico) o  se los hace rechinar (bruxismo excéntrico). Este es un problema que afecta entre a un 10 y 20% de la población, y puede traer aparejado dolores de mandíbula, de cabeza, de oídos y de cuello. Tipos de Bruxismo Según el momento en que se produzca puede ser: Nocturno Diurno Causas Aún se desconoce a ciencia c ...

General

El término bruxismo hace referencia a un tipo de trastorno de origen nervioso muy frecuente en la sociedad moderna, que se manifiesta con un rechinar de dientes involuntario y constante, tanto por el día como por la noche. Causas del bruxismo Las causas del bruxismo no se han determinado con certeza, sin embargo hay algunos indicios que señalan a los siguientes motivos: Situaciones de tensión o es ...

El concepto de bruxismo hace referencia a una alteración biomecánica de la  articulación temporomandibular en la que se produce una parafunción mandibular, o lo que es más conocido, se aprietan los dientes. Aunque puede darse de forma indiferente durante el transcurso del día o de la noche, tiene una mayor incidencia durante la noche.    Uno de los principales problemas que aparece es el desgaste ...

Salud Causas del bruxismo Concepto de bruxismo o rechinar de dientes ...

1-Generalidades del bruxismo. CÓMO DEJAR DE RECHINAR LOS DIENTES: El bruxismo o rechinar de dientes es una patología silenciosa que padece el 70% de la población . Suele aparecer durante la adolescencia o juventud y afecta de igual manera a hombres y mujeres. Es una enfermedad que consiste en apretar con fuerza los dientes de ambas arcadas dentarias y además posibilita los movimientos dentales de ...

estrés natural antiiflamatorio ...

¿Aprietas los dientes mientras duermes? ¿Sufres bruxismo? El bruxismo es el acto involuntario de apretar los dientes sobre todo durante el sueño. Si aprietas los dientes durante la noche, tendrás dolor más o menos intenso en la zona mandibular, que puede mantenerse desde minutos hasta horas, empeora o se desencadena la mover la articulación (comer, hablar o cepillarse los dientes) o tocar la zona ...

La artrosis del pulgar o rizartrosis se produce en la base del pulgar, entre el primer metacarpiano y el hueso trapecio. Se produce por la degeneración del cartílago que recubre la articulación, este cartílago ayuda a que las articulaciones se deslicen suavemente, cuando se deteriora los huesos se frotan entre ellos causando una lesión  y dolor. Es una afectación progresiva y crónica. Es muy frecu ...

bruxismo tensión boca bruxismo consecuencias ...

Hola a tod@s!! Hoy voy a hablar de un trastorno que cada vez aparece más y que se trata del bruxismo. Pero, sabemos , ¿qué es el bruxismo? ¿Qué es el bruxismo? El bruxismo es un trastorno que consiste en apretar y rechinar los dientes de forma involuntaria, tanto a lo largo del día como durante el descanso nocturno, de manera regular e inconsciente, lo que puede causarnos daños en las piezas de ...

Remedios Caseros apretar bruxismo ...

El bruxismo es una actividad invountaria del cuerpo de apretar y/o rechinar los dientes de forma involuntaria, manteniendo en tensión la musculatura asociada a la masticación. Los sintomas pueden aparecer aislado. Causas del bruxismo Estres, ansiedad y posición durante el sueño Consecuencias del bruxismo - Desgastes dentales - Fracturas dentarias - Dolores de cabeza - Debilitamiento e inflamación ...

ferula dental rechinamiento bruximo ...

El bruxismo puede afectar a tu sueño y ser la causa de algunas cefaleas tensionales. El odontólogo o el compañero de cama puede ser el primero en detectar si padeces bruxismo. Se define como un acto inconsciente por el que apretamos los dientes con una fuerza que puede llegar a ser hasta el 60% de la que ejercemos al masticar,pero esta vez sin ningún objetivo masticatorio. Y también cuando hacemos ...