7 Consejos a considerar acerca de la Maloclusion



maloclusion
Maloclusion, una anomalía importante de estudiar a nivel odontológico, ya que es algo que se ha incrementado con el pasar del tiempo, es importante reconocerlo y poder corregirlo a tiempo a través de los distintos métodos que serán explicados a continuación; primeramente es importante conocer ciertas generalidades para entrar en lo que es la complejidad del tema que será explicado a continuación:
maloclusion

1) ¿Qué es la oclusión?
La oclusión es la armonía que existe en la intercuspidacion o el contacto entre los dientes de la arcada superior con los dientes de la arcada inferior. Para que exista una perfecta oclusión es necesario que se cumplan ciertos parámetros o reglas.
La oclusión ideal se dice que es la posición más posterior y superior de cóndilo con respecto a la cavidad glenoidea, para que se de esta oclusión sabemos que se necesita que se dé una correcta relación molar y una relación canina.
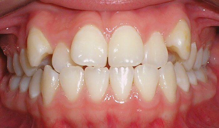
La relación molar o llave de Angle, es la relación que tiene el primer molar superior con respecto al primer molar inferior, existen 3 clases:
• Clase I: es la relación considerada la idea o correcta, que es cuando la cúspide mesial vestibular del primer molar superior contacta con el surco vestibular del primer molar inferior. (IDEAL)
• Clase II: se da cuando la cúspide mesial vestibular del primer molar superior ocluye mesial del surco vestibular del primer molar inferior. (RETRUSISMO)
• Clase III: se da cuando la cúspide mesial vestibular del primer molar superior ocluye distal del surco vestibular inferior. (PROGNATISMO)
2) ¿Qué es la mal oclusión?
La maloclusion es cuando ambas arcadas tanto superior e inferior al ocluir no hacen máxima intercuspidacion dándose como resultado una oclusión desajustada o defectuosa. Muchas personas sufren de maloclusion, y no son corregidas, el grado de afectación que tenga la maloclusion en tu vida siempre va a depender de la severidad de cual se tu caso, cuando las Maloclusiones son corregidas a tiempo se disminuye la probabilidad de perdidas dentarias, e incluso te ayuda a disminuir las molestias o presiones que pueden sentir en tu mandíbula.

3) ¿Qué causa la maloclusion?
La maloclusion puede ser generada por factores hereditarios, pero más comúnmente se debe a los hábitos adquiridos por los niños en su etapa de crecimiento como lo es la succión digital (chuparse el dedo), succión lingual (chuparse la lengua), respiradores bucales (niños con problemas de adenoides que se les dificulta respirar por la nariz, o mala costumbre), biberón después de los 3 años, o tomar biberón por demasiado tiempo.
4) ¿Cuáles son los efectos segundarios de los hábitos que ocasionan la maloclusion?
Los hábitos que ocasionan las Maloclusiones tienen como consecuencia la afectación de la forma de los maxilares, los malos hábitos alimenticios, respirar por la boca sin cerrar los labios, afectación de las amígdalas, mayores infecciones de garganta, Incisivos superiores vestibularizados, incisivos inferiores lingualizados, paladar muy profundo, labio inferior agrandado, pecho de paloma, ojeras, mala oclusión (mordida cruzada, sobremordida, apiñamientos, malformaciones.
5) ¿Cuáles son los hábitos causantes de la maloclusion?
• Succión digital:
Habito del niño de chuparse el dedo durante su primero meses y años de vida, esto se debe a que el niño siente inseguridades, temores y lo refleja de esta forma, se considera normal los primeros meses de vida, pero es perjudicial al comenzar la dentición. Por lo que si después de cumplir el primer año de edad el niño aún mantiene este habito es recomendable el uso de chupón (pero no por mucho tiempo). Esto se da como una necesidad del niño de satisfacer una necesidad, le da seguridad, el niño suele realizarlo cuando tiene, sueño cansancio, o esta fastidiado. Cuando este habito se prolonga por más tiempo puede llegar a causar alteraciones en el desarrollo de los maxilares, y de los dientes.
Puede producir mordida abierta, mordida cruzada, paladar profundo, alteraciones esqueléticas.
¿Cómo detener la succión digital?
Primeramente no se debe ridiculizar al niño por chupar dedo, ni compararlo con otros niños, se le debe explicar por qué no debe chupar dedo, y todos los efectos negativos que este habito puede ocasionarle a su dentadura. Reforzarlo positivamente cuando deje de succionar, premiarlo. Utilizar líquidos con gustos desagradables, cubrir el dedo, guantes, vendas.
Lo más recomendable y lo más efectivo es la colocación de aparatos que interrumpen el habito, como los erradicadores de habito fijos que van cementados a los molares posteriores de manera que el niño no pueda sacarlo de su boca, este consta de una placa de acrílico que en la porción del paladar lleva una rejilla metálica que evita que el niño lleve el dedo al paladar. Existen muchos tipos de aparatología para estos casos todo va a depender de la edad del niño y de su grado de aceptación ante este mecanismo.
• Deglución atípica:
En una variante en la deglución, causada por la descoordinación de los movimientos de los músculos faciales. La deglución es una secuencia de contracciones musculares organizadas, que llevan el bolo alimenticio de la cavidad bucal hasta el estómago. Las formas atípicas de la deglución atípica se originan por: interposición lingual (la lengua se coloca adelante empujando la cara de los incisivos), movimientos de cabeza, ruidos al tragar, dificultad para tragar, movimiento de los labios al tragar. La deglución atípica puede ser ocasionada por la misma succión digital, por ser respirador bucal, por biberones o chupones.
Para tratar la deglución atípica se realizan ejercicios miofuncionales, modificando el patrón de deglución anormal, existen aparatos de acrílicos fijos o removibles, que a través de un botón acrílico que se coloca en la porción del paladar se le recuerda al paciente donde debe colocar la lengua, es más un tratamiento para entrenar a la lengua de donde es su posición y su lugar en el momento de tragar.
• Respiración bucal:
La respiración bucal es un habito bastante común que puede estar dado, por la obstrucción de las vías aéreas superiores, por la desviación del tabique nasal, inflamación de las adenoides, aunque estos pacientes pueden respirar tanto por la nariz como por la boca. Cuando la respiración bucal se vuelve crónica, es cuando comenzamos a ver cambios a nivel de la morfología del paciente, cambios en la oclusión, caras alargadas, ojeras, nariz estrecha, labio superior corto, incompetencia labial, labio inferior grueso. Deben ser referidos al otorrinolaringólogo, para poder resolver el problema. Estos pacientes son más propensos a sufrir ciertas infecciones a nivel de las vías aéreas superiores.
6) ¿Cuáles son los tipos de Maloclusiones?
Transversales:
Es la alteración en la oclusión de los premolares y molares.

Mordida cruzada: se da cuando los molares superiores ocluyen por dentro de los inferiores. Es una oclusión invertida.

Bilateral: ambas hemiarcadas.

Unilateral: una sola hemiarcada (derecho o izquierda).

Mordida en tijera: es cuando los molares superiores en su cara palatina ocluye con la cara vestibular de los molares inferiores.
Verticales:

Sobremordida: es cuando los incisivos superiores cubren completamente los incisivos inferiores y no se observan.

Mordida borde a borde: cuando el borde incisal de los incisivos superiores ocluyen con el borde incisal de los incisivos inferiores.

Mordida abierta: cuando los incisivos inferiores y los superiores no ocluyen de ninguna forma, entonces se dice que existe una mordida abierta, y hay un overjet y un overbite que están aumentados.

Overjet: distancia vertical que hay desde la cara vestibular de los incisivos inferiores hasta la cara palatina de los incisivos superiores. Normal: 2 a 3mm.

Overbite: distancia vertical que hay desde el borde incisal de los incisivos inferiores hasta el borde incisal de los incisivos superiores.
7) ¿Existen tratamientos para la maloclusion?
Claro que si existen diversos tratamientos para los diferentes tipos de Maloclusiones, como ya lo hemos nombrado anteriormente, para la erradicación de distintos hábitos y la corrección de ciertas Maloclusiones tenemos los erradicadores de hábitos que tienen como finalidad interrumpir esta mala acción de manera de que el individuo lo olvide y deje de repetirlo, y así frenar los daños que se estaban causando, y regresar de nuevo la oclusión ideal. También para las Maloclusiones transversales y horizontales tenemos a nuestro alcance los aparatos de ortodoncia que son los más indicados ya para Maloclusiones mucho más severas.
La entrada 7 Consejos a considerar acerca de la Maloclusion aparece primero en Mega Medico.

¿Vulnera este post tus derechos? Pincha aquí.
Creado:
¿Qué te ha parecido esta idea?
Esta información nunca debe sustituir a la opinión de un médico. Ante cualquier duda, consulta con profesionales.

Esta idea proviene de:

Y estas son sus últimas ideas publicadas:

Recomendamos

Relacionado

Odontología Pediatría anomalias ...

Maloclusion, una anomalía importante de estudiar a nivel odontológico, ya que es algo que se ha incrementado con el pasar del tiempo, es importante reconocerlo y poder corregirlo a tiempo a través de los distintos métodos que serán explicados a continuación; primeramente es importante conocer ciertas generalidades para entrar en lo que es la complejidad del tema que será explicado a continuación: ...

Temas Higiene Bucodental

La oclusión son todas aquellas situaciones y estructuras relacionadas que, de una manera estática o dinámica, establece relación entre el arco dentario superior e inferior.Articulación Témporomandibular o ATM Básicamente, de ella depende la oclusión. Las articulaciones cerebrales son sinertrósicas (inmoviles) pero la ATM es diartrósica (móvil). La superficie ósea superior de la ATM es el hueso Tem ...

Temas Higiene Bucodental

La ortodoncia es la rama de la odontología que tiene como objetivo de estudio, la prevención y la corrección de las anomalías de relación, posición y estética dentomaxilofacial; el diente se relaciona con sus vecinos antagonistas y el cráneo, porque cualquier anomalía trae diferencias con el perfil. La importancia del estudio de la ortodoncia deriva de tres motivos: científico, profesional y socia ...

Odontopediatría Ortodoncia Salud bucodental ...

La respiración oral y la deglución atípica son hábitos nocivos que se asocian a paladar estrecho, falta de espacio para la erupción de dientes permanentes (apiñamiento), maloclusión y mordida cruzada. En nuestra clínica nos centramos en detectar estos malos hábitos en los niños y en corregirlos para promover el correcto desarrollo facial.   Para ello nos apoyamos en la ortopedia miofuncional. El s ...

odontología

Dentro de la odontología, los tratamientos ortodóncicos, además de ser uno de los más renombrados, son también algunos de los que más dudas e interrogantes genera entre los pacientes. En su aspecto más amplio, a través de la ortodoncia se consigue la corrección de dientes y huesos que están posicionados incorrectamente. Estas malformaciones se conocen también como maloclusiones dentales. Mediante ...

La lengua es un órgano muscular que posee funciones sumamente importantes en el cuerpo humano, conocer de forma detallada cada una de ellas es de gran interés para mejorar su trabajo, además con la realización de algunos ejercicios podrás fortalecerla y ubicarla de forma correcta para evitar y prevenir problemas en la mandíbula. Desde el punto de vista anatómico la lengua se encuentra fija a la m ...

Temas Higiene Bucodental

Con la llegada de los tratamientos multidisciplinares y, concretamente, refiriéndonos al campo de la Ortodoncia, cada vez se hace más necesaria la delegación de funciones en el higienista. En los últimos años, el higienista se ha convertido en un miembro habitual y muchas veces imprescindible dentro de nuestras consultas odontológicas asistiendo al odontólogo en ciertas funciones delegadas. Según ...

Enfermedades enfermedad venerea lues ...

La sífilis es una infección sistémica causada por Treponema pallidum, una espiroqueta larga, delicada, enrollada, móvil, con extremos finamente afilados, perteneciente a la familia Spirochaetaceae. Los miembros patógenos de este género comprenden T. pallidum (sífilis venérea), Treponema pertenue (pian o frambesia), Treponema pallidum subespecie endemicum (sífilis endémica) y T. carateum (pinta). E ...

Bajar De Peso Ejercicios para Adelgazar abdomen ...

Regularmente los hombres tienen gustos muy simples, ellos no se complican la vida, solo disfrutan de tener un buen automóvil, un perro bonito, una buena barba y lo mas importante de todo tener una buena figura. Es por esta razón que muchos buscan la forma de obtener ese cuerpo envidiable por todos y deseado por muchas. A continuación te daré a conocer 7 consejos super sencillos que te garantizara ...