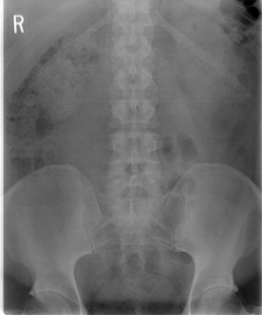
Como tratar con la espondilodiscitis infecciosa


Imagen 1


La espondilodiscitis infecciosa es una infección poco frecuente que afecta a las vértebras y al espacio intervertebral. Generalmente son bacterias las que lo producen y que suelen llegar a la columna a través del torrente sanguíneo o directamente tras una operación en la zona. 

Las vértebras a las que principalmente suelen afectar son las lumbares, seguido de las dorsales,  siendo las cervicales las menos frecuentes. Esta infección suele ser complicada de diagnosticar puesto que se manifiesta con un dolor de la zona de la espalda donde están las vértebras afectadas y que siempre se suele relacionar primero con contracturas u otros problemas asociados a los dolores de espalda. El dolor suele ir aumentando con el tiempo pudiendo llegar a ser casi incapacitante, sobre todo si la infección se extiende y produce compresión medular. 

A pesar de tratarse de una infección, sin embargo, no siempre provoca fiebre y eso retrasa su diagnóstico, unido a que no siempre se puede detectar con un simple análisis de sangre como otros procesos infecciosos. Generalmente se necesita una resonancia magnética para localizarla y en algunos casos se requiere de una biopsia para determinar cuál es la bacteria que ha producido la infección.

Imagen 0


El tratamiento consiste en el suministro de antibióticos específicos para acabar con la bacteria durante varias semanas y en algunos casos es necesaria la intervención quirúrgica para dejar 'limpia' la zona con el fin de garantizar la oxigenación de los tejidos de las vértebras afectadas y garantizar la movilidad y seguridad de la columna vertebral.

¿Conoces algún caso de espondilodiscitis?

Fuentes: Espondilodiscitisinfecciosa.blogspot.com.es; Myegoo.s3.amazonaws.com y Zl.elsevier.es

Imágenes: primera, d3l/Flickr y Simon Davison/Flickr
 
¿Vulnera este post tus derechos? Pincha aquí.
Modificado:
¿Qué te ha parecido esta idea?
Esta información nunca debe sustituir a la opinión de un médico. Ante cualquier duda, consulta con profesionales.

Recomendamos

Relacionado

paget enfermedad de los huesos osteoporosis ...

La enfermedad de Paget (EP), también conocida como osteitis deformante, fue descrita por primera vez en 1876 por Sir James Paget, de quien toma su nombre. En términos generales, se trata de una alteración en el proceso habitual de formación y destrucción del hueso. Esta enfermedad lo que hace es que interrumpe el reemplazo de tejido óseo viejo por tejido óseo nuevo, entonces estos procesos se gene ...

hidronefrosis inflamación del riñón problemas de riñón ...

En términos generales se trata de la inflamación del riñón por acumulación de orina en el mismo debido a que no puede drenarse a la vejiga para su expulsión. Esta inflamación puede afectar a un sólo riñón, lo que se conoce como hidronefrosis unilateral, o a los dos, en cuyo caso hablamos de hidronefrosis bilateral. Esta inflamación del riñón no es una enfermedad, sino que suele ser la consecuencia ...

hipercalcemia calcio exceso de calcio ...
Exceso de calcio en la sangre

Resuelve todas tus dudas sobre la hipercalcemia: en qué consiste, qué provoca su aparición, qué síntomas presenta, cómo se puede tratar y qué consecuencias podría tener no hacerlo a tiempo.

úlcera úlcera péptica úlcera de estómago ...

Una úlcera péptica es una herida o erosión que se forma en la mucosa del estómago, siendo esto una úlcera gástrica, o en el duodeno, que es la parte superior del intestino delgado, la parte de intestino unida al estómago directamente, en este caso siendo conocido como úlcera duodenal. Durante muchos años se consideró que la causa de la aparición de esta erosión era porque la persona que la padecía ...

narcolepsia cataplejía narcolepsia causas ...

Día Europeo de la Narcolepsia se conmemora hoy, es un trastorno neurológico del sueño que se caracteriza por una somnolencia diurna excesiva y manifestaciones anormales del sueño REM. La prevalencia de esta enfermedad llamada Narcolepsia es baja, también está muy infradiagnosticada. La Sociedad Española de Neurología (SEN) estima que entre el 60% y el 80% de los pacientes no están diagnosticados. ...

5.2- miscelánea: enfermedades de temporada 6_comunicación/sexualidad/autoestima/creencias y valores fiebre amarilla ...

La fiebre amarilla es una enfermedad vírica aguda, hemorrágica, transmitida por mosquitos infectados. El término "amarilla" alude a la ictericia que presentan algunos pacientes. La mortalidad de los casos graves no tratados puede llegar al 50%. Se calcula que cada año se producen en el mundo 200 000 casos de fiebre amarilla que causan unas 30 000 muertes. El virus es endémico en las zona ...

osteoporosis psteopenia huesos ...

¿Qué es la Osteopenia? Es cuando se determina que la densidad de sus huesos es baja, pero no lo suficientemente como para ser diagnosticada de Osteoporosis. Entre las posibles causas de una masa ósea baja destacan: - Factores hereditarios. - Desarrollo de una masa ósea pico por debajo del nivel óptimo en la juventud. - Un problema de salud o un medicamento para el tratamiento de tal problema que p ...

El Síndrome Tietze consiste en la inflamación del tejido cartilaginoso que une la costilla con el  esternón, según la medicina es un problema de origen desconocido cuya inflamación e irritación se manifiesta por las mañanas y puede mejorar a lo largo del día y con el movimiento y el ejercicios. Tiene una duración variables de 4 a 6 meses remitiendo muchas veces de forma instantánea.  Otras repercu ...

enfermedades prevención articulaciones ...

Los niños con pie cavo tienen arcos que son mucho más altos de lo habitual. A menudo, sus talones apuntan hacia adentro, y la totalidad de sus dedos del pie se flexionan. Los niños con pie cavo tienen problemas para encontrar zapatos que calcen. La parte superior y el centro de sus pies pueden presentar dolor, y desarrollar callos gruesos debajo de la bola y en los bordes exteriores de los pies. D ...