Cuida Tus Hombros: La Clave Para Remediar El Dolor y Prevenir Lesiones

En este artículo te muestro una técnica fácil, efectiva, y gratis para remediar y prevenir el dolor de hombro y otros problemas

Tener una lesión de hombros es bastante incómodo…

Por ratos piensas que estás bien, hasta que levantas el hombro para agarrar algo o quitarte la playera, y ahí es cuando te das cuenta que sigues inservible.

dolor de hombro


En lo personal, tuve dolor en el hombro derecho por años y, a pesar de llevar tratamiento con varias técnicas, nunca mejoró.

Así que me harté de esperar a que disminuyera el dolor, y lo que hice fue comenzar a entrenar como lo hacía antes de la lesión.

Mi filosofía en esa época fue la de:

“Si se va a romper, que se rompa bien”.

Sin embargo, como por arte de magia, el dolor disminuyó y era casi imperceptible, aunque aún seguía presente.

No tenía idea del porqué había pasado esto, si se supone que todos me decían que debía descansar los hombros.

Ahora entiendo mucho mejor por qué razón mi hombro dejó de doler casi por completo y es sobre lo que te voy a platicar el día de hoy.

 

Anatomía del hombro

Primero que nada, tenemos que comprender la anatomía de los hombros.

Así podrás visualizar mucho mejor sobre lo que vamos a hablar.

El hombro es la articulación que tiene más libertad de movimiento en el cuerpo humano.

Por lo mismo, su complejidad es mayor y puede crear problemas de lesiones si no se tiene cuidado.

Las estructuras que más nos interesan para remediar y prevenir lesiones en esta zona son 2:

manguito rotador

arco coracoacromial

Manguito Rotador

El manguito rotador es un grupo de 4 músculos que ayudan a rotar al hombro; dentro de los cuales están:

supraespinoso

infraespinoso

redondo menor

subescapular


 

Arco Coracoacromial

El arco coracoacromial es una estructura curvada en el hombro que está por arriba de los tendones del manguito rotador e incluye a:

acromion

apófisis coracoides

ligamento coracoacromial
anatomia arco coracoacromial


Como veremos más adelante, la relación de estas 2 estructuras, y el espacio entre ellas, son los principales motivos por los que se crea el dolor de hombro.

 

Por Qué Se Dan La Mayoría De Problemas Con El Hombro

Muchos de los problemas del hombro se dan por falta de espacio en las 2 estructuras mencionadas (especialmente en el arco coracoacromial), lo que puede provocar pinzamientos o desgarros de músculos y tendones del manguito rotador.

Por ejemplo en esta imagen, del lado izquierdo, se ve el espacio normal (asterisco rosa) en el manguito rotador y la bursa subacromial; del lado derecho se ve ese mismo espacio reducido por el acortamiento del ligamento coracoacromial (flecha blanca) y el encorvamiento del acromion (flecha roja):

Esta situación es más conducente por nuestro estilo de vida actual, donde pasamos mucho tiempo en un ordenador y rara vez levantamos las manos (tal vez solo para quitarte la playera y bañarte).

Y es que, si lo piensas, los hombros fueron parte esencial para desplazarnos por la naturaleza.

monos braquiando


De hecho, la incidencia de lesiones de hombros (en específico del manguito rotador), es un problema humano, y raramente encontrado en monos.

Esto puede ser el resultado de que dejamos la braquiación (trasladarse de un lado a otro balanceándose de rama en rama).

Todavía tenemos la fisionomía para realizar esta actividad y nuestro estilo de vida sedentario nos está mostrando que debemos regresar a darle el movimiento que necesita.

Cuando no tenemos este movimiento primal de levantar los brazos con frecuencia, ocurre algo conocido como el síndrome de pinzamiento subacromial.

Es decir, el problema no es usar demasiado el hombro, sino el desuso del mismo.

En esta imagen se nota del lado izquierdo un hombro normal y del lado derecho uno donde, con el paso del tiempo, el acromion (flecha roja) se “curvó” presionando los tendones del manguito rotador, lo que provoca que estos se inflamen (flecha rosa), así como los ligamentos coracoacromiales (flecha verde):

inflamación del manguito rotador


Precisamente esto es lo que provoca ese dolor en el hombro al levantar el brazo: no hay espacio suficiente y los tejidos son pinchados por las estructuras óseas.

Entonces, hay que hacer algo para crear más espacio en esa zona.

Antes de ver cómo podemos lograr eso, quiero platicarte sobre lo que no funciona.

Métodos Que Probablemente No Funcionen Para El Dolor De Hombro

Lo que se recomienda para las lesiones de hombro (y para la gran mayoría de lesiones) es descanso y terapia física.

En cuanto a terapia, en mi experiencia personal, pasé por terapias con TENS (electroestimulación), compresas con agua fría y caliente, láser, masajes, y estuve a punto de tomar un tratamiento con células madre.



Si esto no funciona, el siguiente paso es la cirugía.

El problema está en que hay evidencia que muestra que la cirugía más común para tratar los problemas de hombro es igual de efectiva que un placebo1

Esta cirugía consiste en una descompresión subacromial, lo que significa que removerán partes de:

- bursa subacromial

- ligamento coracoacromial

- acromion
Básicamente, disminuyen el volumen de estos tejidos para crear más espacio en la zona del hombro.

Esto es un problema porque la bursa sirve para que la fricción entre las estructuras esté lubricada de alguna manera.

Sin esta lubricación, la fricción constante irá mermando a estos tejidos con el tiempo.

Sin embargo, existe la opción de crear espacio en esta zona sin necesidad de cirugía.

 

Cómo Remediar y Prevenir El Dolor De Hombro

La forma más práctica de aliviar el dolor de hombro es colgarse de algo por algunos minutos al día.

Sí así de simple.

Esto fue comprobado por el Dr. Kirsch en un estudio realizado en su instituto donde se incluyeron a 92 participantes con problemas de dolor de hombro2.

En específico:

-síndrome de pinzamiento subacromial: 70 personas

- desgarros del manguito rotador con diagnosis comprobada con resonancia magnética: 16 personas

- capsulitis adhesiva (hombro congelado): 4 personas

-  osteoartritis de la articulación glenohumeral: 2 personas 90 de estos participantes regresaron a su vida normal después del protocolo del Dr. Kirsch.

Una tasa de efectividad del 98%.

Las 2 personas que no mejoraron fue porque dejaron el estudio por motivos personales.

Muchos de estos participantes tenían incluso cirugías de hombro agendadas, las cuales ya no fueron necesarias realizar.

En el periodo de seguimiento, los participantes aliviados siguieron con hombros saludables hasta 28 años después.

Para realizarlo, lo único que necesitas es un lugar del que puedas colgarte y hacerlo por 10-15 minutos en “series” de 15-30 segundos.

Cuando estés colgando, la única parte activa en tu cuerpo deben ser tus manos agarrando la barra.

Deja que la fuerza de gravedad haga su trabajo.

colgando basketball


Solo asegúrate de que tus manos están tomando la barra desde arriba y no desde abajo de la barra.

Es decir, cuando te cuelgues, hazlo tomando la barra (o donde sea que te vayas a colgar) con las palmas de la mano apuntando al frente y no hacia atrás.

A este tipo de agarre se le conoce como agarre prono.

Esto es importante porque un agarre prono es el que permite la mayor elevación del brazo.

Puede ser que cuando comiences tengas algo de dolor de hombro o incomodidad; es normal

Pero, notarás que la incomodidad comienza a ceder después de unas sesiones de estar colgado.

Si no tienes la fuerza suficiente para lograr que tu cuerpo entero esté colgando, puedes utilizar una silla, escalera, o algo para soportar tu peso con los pies e ir poco a poco incrementando el peso que sostienes con tus manos:



Otra opción es que consigas unos ganchos para levantar pesas, los cuales te ayudan a soportar más peso:

agarraderas para soportar el peso corporal




Aquí hay una buena opción (es un link de afiliado).

Además de colgarte, también es necesario fortalecer la musculatura de los hombros.

Puedes hacerlo seguido de tu tiempo colgado.

El Dr. Kirsch, en su libro, recomienda una rutina con peso ligero que incluya ejercicios que tengan patrones de movimiento de abducción, flexión, y extensión de los hombros (todos siempre con agarre prono en las mancuernas).

abducción de hombros gif

Solo recuerda hacer este ejercicio con las palmas de las manos viendo hacia el suelo
flexión de hombro gif


Este protocolo puede servir tanto para remediar, como para prevenir los problemas con los hombros.

Para prevenir el dolor de hombro, puedes colgarte por 15-30 segundos antes de comenzar a entrenar, después sigues tu rutina normalmente, y al finalizar pasa otros 15-30 segundos colgado.

En esta imagen se puede ver una representación gráfica de lo que pasa después de aplicar este protocolo por un tiempo:

Del lado izquierdo se ve el hombro con un pinzamiento, y del lado derecho se ve cómo, con el paso del tiempo, se vuelve a crear el espacio necesario entre el acromion (flecha roja) y el ligamento coracoacromial (flecha verde) para que no haya tal pinzamiento.

El espacio necesario para que no haya pinzamiento es mínimo, por lo que no se necesita demasiado tiempo para notar resultados.

Ahora que ya sabes qué hacer, voy a comentarte el porqué es tan eficaz.

 

NOTA: ¿Quieres tener más conocimiento sobre el fitness?

Si es así, no puedes perderte el curso gratis que hice donde cada día, por 7 días, te voy a compartir por email los artículos que más visitas han tenido en mi blog, para que conozcas más sobre el arte y ciencia del fitness (apto para hombres y mujeres) da aquí para inscribirte gratis.

 

 

Por Qué Colgarse Funciona Para Remediar El Dolor De Hombro

El Dr. Kirsch descubrió este método para aliviar el dolor de hombro debido a que él mismo desarrolló pinzamiento subacromial severo en ambos hombros.

Tuvo su “epifanía” al intentar igualar a sus hijos cuando colgaban de una escalera horizontal y se balanceaban de un peldaño al otro sin ningún dolor.

monkey bars


Cuando el Dr. Kirsch lo intentó, fue de inmediato obvio que el dolor no le iba a permitir seguir.

Lo que lo llevó a la hipótesis de que sus hijos podían hacerlo porque realizaban ese tipo de movimiento de manera mucho más frecuente que él.

Esto es algo que se ha visto en estudios también: para mantener una buena movilidad, se necesita tener actividad con ese tipo de movimiento3.

Para no hacerte el cuento largo, el Dr. Kirsch instaló una barra en su casa para poder colgarse por unos cuantos minutos al día y notó una enorme mejora en sus hombros.

Al inicio de este artículo te platiqué que sentí una mejora en el dolor de mi hombro cuando comencé a entrenar de nuevo.

Ahora me doy cuenta que la mejora se debió a que, en mi rutina de gimnasio, realizaba chin ups de forma frecuente.

Este ejercicio fue lo que me ayudó a crear más espacio en la zona del arco coracoacromial y así reducir el dolor de hombro.

Claro está que, en aquel tiempo no sabía esto y para mí había sido a causa de brujería.

Pero ten por seguro que, de ahora en adelante, en cada sesión de entrenamiento voy a añadir tiempo colgado.

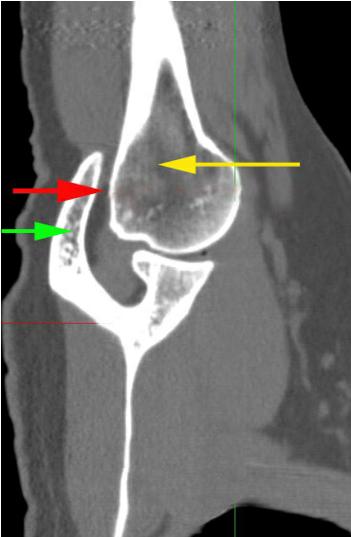
Cuando te cuelgas, generas una “nueva” articulación llamada acromiohumeral.

En esta imagen se puede ver el espacio creado (flecha roja) por el húmero (flecha amarilla) y el acromion (flecha verde):





Este espacio es el necesario para aliviar los problemas causados por el síndrome de pinzamiento subacromial, las lesiones del manguito rotador, el “hombro congelado”, y la gran mayoría de problemas de hombro.

Esto se puede lograr porque el hombro no es una articulación “fija”, sino que puede desplazarse por medio de la gravedad.

El hueso y otros tejidos son reformados como resultado de este estrés aplicado; a este proceso se le conoce como la ley de Wolff4.

Por ejemplo, en este estudio5, se encontró que al aplicar fuerza en el hueso del acromion, este tiene la capacidad de “curvarse”; con el tiempo puede reformar estas estructuras, dando más espacio al manguito rotador.

Si el estilo de vida sedentario frente al ordenador crea un acromion curvado hacia abajo, colgarse lo reforma hasta que logra su posición natural, dejando el espacio suficiente para las estructuras de manguito rotador.

Después de más de 36 años de aplicar este método en la práctica del Dr. Kirsch, se puede asegurar que no solo es seguro, sino también extremadamente efectivo.

 

Cuándo No Funciona

Colgarse no es la panacea para absolutamente todos los problemas con el hombro.

Funcionará muy bien para algunas afecciones que tienen que ver con el pinzamiento de los músculos y tendones en la zona del acromion e incluso para desgarros en algún músculo o tendón del manguito rotador.

Pero para problemas más serios, como dislocaciones u hombros inestables, y en situaciones de muy baja capacidad física o con osteoporosis, lo mejor es llevar un tratamiento con un profesional de la salud.

Aunque, si decides darle una oportunidad a este método, notarás que colgarse tiene otros beneficios.

 

Otros Beneficios De Colgarse

Colgarse no solo va a ayudarte a remediar y evitar los problemas con los hombros, sino que tiene otros beneficios:

-mayor fuerza de agarre

-mejora la movilidad del hombro

-ayuda a descomprimir la columna

-corrige la postura

-es gratis

Mayor Fuerza De Agarre

La fuerza de agarre es una métrica importante que puede predecir la esperanza de vida6 y menor incapacidad futura7 8.



La mejor forma de entrenar el agarre es activando los músculos que flexionan los dedos y muñecas.

Y cuando te cuelgas, los únicos músculos activos son precisamente estos, estimulando muy bien los antebrazos y tu fuerza de agarre.

 

Mejora La Movilidad Del Hombro

Al tener más espacio en el arco coracoacromial, tu hombro tiene más libertad de movimiento.

Incluso, tal vez te des cuenta que, con el paso del tiempo de colgarte con frecuencia, notarás que tu hombro gana más rango de movimiento.

 

Ayuda a Descomprimir La Columna

Otra gran ventaja es que ayuda a elongar la columna vertebral.

Con el peso de tu cuerpo y la fuerza de gravedad, tu columna se va comprimiendo a lo largo del día.

Y si entrenas con cargas pesadas, esto es todavía más acentuado.

Claro está que, esto no significa que entrenar con pesas afecte la estatura o sea dañino para tu columna.

Es solo que debe haber un balance para evitar imponer demasiado estrés en estas estructuras.

Al colgarte con frecuencia, estás dándole un estiramiento significativo a tu columna vertebral.

columna vertebral


 

Corrige La Postura

Como comenté al inicio de este artículo, nuestra vida moderna nos hace pasar mucho tiempo sentados frente a un ordenador.

Esto, además de provocar los problemas con los hombros, también puede afectar tu postura.

El estiramiento de los hombros, espalda, y trapecio que se obtiene al colgarse puede mejorar de manera significativa tu postura.

 

Es Gratis

Los ejercicios compuestos son una manera muy eficiente de entrenar al activar varios grupos musculares a la vez con un mismo ejercicio.

De igual manera, colgarse es muy eficiente para remediar y mejorar varias funciones a la vez en el cuerpo humano.

Si hubiera un producto que te ofreciera los mismos beneficios que colgarte, sería de un precio bastante alto.

En cambio, colgarse es gratis y puedes realizarlo sin equipo, siempre y cuando encuentres un lugar donde hacerlo.

 

Conclusión

Colgarse es sumamente benéfico para la salud de los hombros, además de que puede ayudar a corregir ciertos efectos secundarios de nuestra vida moderna.

Si tienes dolor de hombros, puedes colgarte por 15 minutos al día, en series de 15-30 segundos.

Esto va a crear más espacio en las estructuras de tus hombros para permitir que los tendones y músculos en esa zona no sufran pinzamiento.

Recomiendo mucho el libro del Dr. Kirsch ya que viene con mucha información sobre el porqué de su efectividad, los protocolos de cómo colgarse y además una rutina específica de entrenamiento para fortalecer esta zona.

   

dolor de hombro libro


Además, explica de forma más profunda las diferentes afecciones que pueden ocurrir con el hombro y el porqué su sistema es tan efectivo para todas ellas.

Puedes conseguir el libro en inglés o español (aunque en español tiene algunos errores ortográficos, pero sigue siendo comprensible en su totalidad):

físico en inglés

kindle en inglés

físico en español Los links son de afiliado y yo gano una pequeña comisión si compras alguno de ellos, claro, sin costo adicional para ti .

Si quieres conocer más sobre el Dr. Kirsch puedes checar su sitio: kirschshoulder.com

 

Esculpe Tu Vida, Comienza Con Tu Cuerpo.



Mostrar Referencias Esconder Referencias +

1. Paavola, M. et al. Subacromial decompression versus diagnostic arthroscopy for shoulder impingement: randomised, placebo surgery controlled clinical trial. bmj 362, (2018).

2. Kirsch, J. M. Shoulder Pain? The Solution & Prevention: Fourth Edition, Revised & Expanded: Fifth Edition, Revised & Expanded (bookstandpublishing, 2019).

3. Kottke, F. J., Pauley, D. L. & Ptak, R. A. The rationale for prolonged stretching for correction of shortening of connective tissue. Archives of physical medicine and rehabilitation 47, 345-352 (1966).

4. Wolff, J. The law of bone remodelling (Springer Science & Business Media, 2012).

5. Ziegler, D. W., Matsen III, F. A. & Hanrrington, R. M. The superior rotator cuff tendon and acromion provide passive superior stability to the shoulder. Submitted to J Bone Joint Surg (1996).

6. Ling, C. H. Y. et al. Handgrip strength and mortality in the oldest old population: the Leiden 85-plus study. Cmaj 182, 429-435 (2010).

7. Rantanen, T. et al. Midlife hand grip strength as a predictor of old age disability. Jama 281, 558-560 (1999).

8. Taekema, D. G., Gussekloo, J., Maier, A. B., Westendorp, R. G. J. & de Craen, A. J. M. Handgrip strength as a predictor of functional, psychological and social health. A prospective population-based study among the oldest old. Age and ageing 39, 331-337 (2010).

   

   

Fuente: este post proviene de Esculpe Tu Cuerpo, donde puedes consultar el contenido original.
¿Vulnera este post tus derechos? Pincha aquí.
Modificado:
¿Qué te ha parecido esta idea?
Esta información nunca debe sustituir a la opinión de un médico. Ante cualquier duda, consulta con profesionales.

Esta idea proviene de:

Y estas son sus últimas ideas publicadas:

Recomendamos

Relacionado

General

Primero que nada, veremos cuales son las afectaciones mas comunes en el hombro. El hombro es una articulación muy inestable, que debe su escasa estabilidad a la accion de los músculos del manguito de los rotadores, lo que a su vez hace que los músculos del manguito rotador tengan muchas lesiones, ya que la biomecánica del hombro es muy exigente. Es muy común en este tipo de lesiones realizar fisio ...

sin categorizar

Las  patologías  del hombro son muy amplias, y muchas como las tendinitis del manguito rotador, bursitis subacromial, tendinitis del bíceps, artrosis acromio-clavicular, periartritis escápulo-humeral, o la intoxicación de los tejidos pueden provocar dolor en el hombro. La articulación del hombro es muy compleja, es realmente una unión de cuatro articulaciones tres reales y una funcional que tiene ...

Hablamos de dolor en el brazo cuando nos referimos a los dolores que aparecen desde el hombro hasta la zona del codo. Existen muchas causas locales o reflejas que puede provocar este dolor en el brazo pero en este vídeo hablaremos de las mas comunes desde el punto de vista de la fisioterapia, estas son la  tendinitis del manguito rotador,  la bursitis subacromial, la irradiaciones cervicales o los ...

Lesiones Tu cuerpo dolor de hombro ...

Si eres fisioterapeuta o médico y piensas que el diagnóstico de los problemas de hombro es coser y cantar, es porque probablemente no tienes ni idea de qué va el dolor de hombro. El hombro es una articulación tremendamente compleja y sobre sus lesiones, examen físico y tratamientos, hay poco acuerdo y mucha información que desdice lo dicho anteriormente. Esta entrada tiene como fin servirte de  ...

dolores y lesiones

Si tienes dolor de hombros probablemente sea culpa del manguito rotador. Lesión del manguito rotador. Hay muchos tipos de dolor en los hombros. El más común es el dolor subacromial, que también se conoce como tendinitis del manguito rotador. Esta lesión comienza con dolor en la parte frontal y en el lado del hombro, que aumenta con el movimiento. En especial cuando se levantan los hombros o se ...

deporte

El hombro es una de las estructuras más móviles de todo el cuerpo, capaz de realizar movimientos en todos los planos y ejes, conformada por pequeñas estructuras entrelazadas entre sí para brindar una gran y necesaria estabilidad biomecánica; pero esta misma característica lo hace vulnerable a presentar diferentes tipos de alteraciones que no solo afectarán una estructura específica, sino que ademá ...

Fisioterapia

El dolor de hombro es más frecuente de lo que imaginamos y la causa más frecuente de este dolor suele ser cuando los tendones del manguito rotador quedan atrapados bajo la zona en el hombro. Cuando esto ocurre los tendones se inflaman o dañan, es decir, esta afección se llama tendinitis del manguito rotador o bursitis. Dolor de hombro según la edad: Además, debemos de tener en cuenta que dependie ...

Deporte Ortesis Ortopedia general ...

El hombro es la articulación con mayor movilidad del cuerpo humano, ya que es capaz de realizar hasta seis movimientos distintos: Abducción: separación del tronco elevándolo en el plano frontal, pudiendo llegar a obtener una amplitud de 180º Aducción: movimiento contrario al anterior, siempre que partamos de una posición de abducción. Flexión: partiendo de la posición de reposo, desplazamos el bra ...

Actualidad Lesiones de espalda Liberar tensiones ...

Los dolores de espalda suelen ser muy molestos. El estrés, las lesiones o una cirugía son factores que desencadenan episodios de dolor. Para evitar y minimizar estas molestias, es recomendable realizar ejercicios para estiramientos de espalda. Sabemos que si estas adolorido lo menos que pasará por tu mente es realizar algún ejercicio. Sin embargo, los especialistas indican que estirar la espalda c ...

El verano es la época del año donde todo el mundo se echa al agua, hacer surf, bodyboard o paldel surf son algunas de los deportes mas emocionantes y divertidos que se pueden hacer en el agua. Jugar y deslizarse por las olas con mayor o menor pericia, nos aporta una emocionante sensación de bienestar a nuestro cerebro, y nos hace sentir libres y en contacto con la naturaleza y el entorno. Sin emba ...