La Tuberculosis en el Mundo







 



























¿Qué es?





La tuberculosis es una enfermedad causada por Mycobacterium tuberculosis,o bacilo de Koch, perteneciente al complejo Mycobacterium tuberculosis. una bacteria que casi siempre afecta a los pulmones.Se distinguen dos tipos de tuberculosis: pulmonar y extrapulmonar.

Aunque la tuberculosis es una enfermedad predominantemente de los pulmones, puede afectar también el sistema nervioso central, el sistema linfático, el sistema circulatorio, el sistema genitourinario, el aparato digestivo, los huesos, las articulaciones e incluso la piel.





¿Cómo se contagia?

La infección se transmite de persona a persona a través del aire. 

Cuando 

un enfermo de tuberculosis pulmonar tose, estornuda o escupe, expulsa 

bacilos tuberculosos al aire. Basta con que una persona inhale unos 

pocos bacilos para quedar infectada.

Se calcula que una tercera parte de la 

población mundial tiene tuberculosis 

latente; es decir, están infectadas por el 

bacilo pero aún no han enfermado ni 

pueden transmitir la infección.

La tuberculosis afecta principalmente a los adultos jóvenes, es 

decir, 

en la edad más productiva. Pero todos los grupos de edad están en 

riesgo. Más del 95% de los casos y las muertes se registran en los 

países en desarrollo.



¿Qué síntomas tiene?

Los síntomas clásicos de la tuberculosis son una tos crónica, con esputo sanguinolentofiebresudores nocturnos y pérdida de peso. La infección de otros órganos causa una amplia variedad de síntomas.



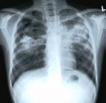
¿Cómo se diagnostica?

El diagnóstico se basa en 

la radiología (habitualmente radiografías 

torácicas), una prueba de la tuberculina 

cutánea y análisis de sangre, así como un 

examen al microscopio y un cultivo 

microbiológico de los fluidos corporales como 

las espectoraciones.

La tuberculosis es una enfermedad que se puede tratar y curar. La forma activa que es sensible a los antibióticos se trata con una combinación estándar de cuatro de estos medicamentos administrada durante seis meses junto con información, supervisión y apoyo del paciente por un agente sanitario o un voluntario capacitado. Si no se proporcionan supervisión y apoyo, el cumplimiento terapéutico puede ser difícil y, como consecuencia, la infección puede propagarse. La gran mayoría de los enfermos pueden curarse a condición de que los medicamentos se tomen correctamente.

Desde 1995, gracias a las estrategias DOTS y Alto a la Tuberculosis recomendadas por la OMS (véase más adelante), se ha tratado con buenos resultados a más de 56 millones de personas y se calcula que se habrían salvado unos 22 millones de vidas.



¿Cómo se previene?

La prevención pasa por la detección precoz de la enfermedad, de manera que se pueda evitar la transmisión al resto de la gente. La OMS recomienda la vacunación con BCG a todos los recién nacidos con alta incidencia de tuberculosis, incluyéndola en el calendario infantil de forma sistemática. Debe administrarse sólo una vez, ya que no está probada la eficacia de la revacunación. Asimismo, no está recomendada a personas adultas que vayan a trasladarse a zonas de alto riesgo, pues tampoco se ha demostrado su eficacia en este campo. No obstante, la OMS recomienda su administración en niños y jóvenes que vayan a pasar largas temporadas en zonas de incidencia.

La BCG está contraindicada en personas con sida, independientemente de la edad que tengan. En cuanto a la alimentación, si viaja a una zona afectada por la enfermedad absténgase de tomar leche o cualquier producto lácteo que no haya sido pasteurizado. En caso de contacto prolongado con una persona infectada que no está en tratamiento acuda lo antes posible a un médico y sométase a la prueba de la tuberculina. El especialista valorará si debe administrarle el tratamiento o la quimioprofilaxis específica frente a la enfermedad.



¿Cómo se trata?

Sin tratamiento, la tuberculosis lleva irremediablemente a la muerte. Para su tratamiento se emplea una combinación de fármacos, entre los que se encuentran la isoniacida, la rifampicina, la pirazinamida, el estambutol y la estreptomicina.



Datos sobre la Tuberculosis

Aproximadamente un tercio de la población mundial está infectada por el bacilo de la tuberculosis. Solo una pequeña proporción de los infectados enfermará de tuberculosis.

Las personas con sistemas inmunitarios debilitados corren un riesgo mucho mayor de enfermar de tuberculosis. Las personas afectadas por el VIH tienen aproximadamente entre 20 y 30 veces más probabilidades de desarrollar una tuberculosis activa.

Para detener la TB, la OMS ha formulado una nueva estrategia de seis puntos que aprovecha los éxitos del enfoque DOTS y aborda expresamente los principales problemas que plantea la enfermedad. 

El objetivo es reducir radicalmente la carga mundial de TB para 2015, garantizando que todos los pacientes, entre ellos los coinfectados por el VIH y los que padecen TB resistente, se beneficien del acceso universal a un diagnóstico de gran calidad y a un tratamiento centrado en el paciente. La estrategia también apoya el desarrollo de nuevos instrumentos eficaces para prevenir, detectar y tratar la enfermedad. La estrategia Alto a la TB es la base sobre la que asienta el Plan Mundial para Detener la TB 2006-2015, elaborado por la Alianza Alto a la TB.

Se conoce como tuberculosis 

multirresistente a la causada por una 

cepa que no responde al tratamiento 

por lo menos con isoniazida y rifampicina,

 los dos medicamentos antituberculosos 

de primera línea (estándar) más eficaces.

El origen de esta forma de la enfermedad está en el tratamiento incorrecto. En efecto, el tratamiento inapropiado con estos medicamentos, o el empleo de medicamentos de mala calidad, puede causar farmacorresistencia.

WEBGRAFÍA

http://es.wikipedia.org/wiki/Tuberculosis

http://www.who.int/mediacentre/factsheets/fs104/es/

http://www.who.int/topics/tuberculosis/es/

http://www.who.int/tb/challenges/xdr/faqs/es/

http://www.who.int/features/qa/08/es/

http://www.who.int/features/factfiles/tuberculosis/es/

http://www.who.int/tb/strategy/stop_tb_strategy/es/

http://www.dmedicina.com/enfermedades/infecciosas/tuberculosis

Fuente: este post proviene de Chupete, tirita, pintalabios., donde puedes consultar el contenido original.
¿Vulnera este post tus derechos? Pincha aquí.
Modificado:
¿Qué te ha parecido esta idea?
Esta información nunca debe sustituir a la opinión de un médico. Ante cualquier duda, consulta con profesionales.

Esta idea proviene de:

Y estas son sus últimas ideas publicadas:

No, no me he trastornado, no... no tengo quemadas las neuronas en plena pre_OPE, os lo digo en serio. De hecho, he hecho ( valga la redundancia) un alto en el camino para atender a unos de los mails q ...

Recomendamos

Relacionado

tubercilina tuberculosis enfermedades

La tuberculosis (TCB o TB), consiste en una infección bacteriana y contagiosa, la cual, afecta principalmente a los pulmones, pero que puede propagarse a otros órganos como el sistema nervioso central, el sistema linfático, el sistema circulatorio, el sistema genitourinario, el aparato digestivo, los huesos, las articulaciones e incluso la piel.. Las bacterias más comunes que producen la tuberculo ...

tuberculosis tratamientos con frutas frutas y enfermedades ...

La tuberculosis es muy fácil de adquirirla por medio de gotitas de agua provenientes de un estornudo o por la tos de una persona infectada. Es muy importante saber que el riesgo de contraer la tuberculosis aumenta si en tu entorno hay personas que padecen la enfermedad, si se vive en condiciones de hacinamiento o se padece de desnutrición. La tuberculosis debe ser tratada con un tratamiento especi ...

enfermedades respiratorias enfermedades dificultad respiratoria ...

El tratamiento de la tuberculosis resulta con frecuencia un reto clínico. Los pacientes requieren tratamiento con múltiples agentes. Los patógenos causales muestran comúnmente patrones complejos de resistencia a los medicamentos y, los pacientes a menudo presentan enfermedades subyacentes que afectan a la elección del fármaco y a su monitorización. Algunos de los fármacos no han sido bien estudiad ...

consejos 5.2- miscelánea: enfermedades de temporada 6_comunicación/sexualidad/autoestima/creencias y valores

La esquistosomiasis es una enfermedad parasitaria crónica causada por gusanos. Más de 230 millones de personas necesitan tratamiento contra la esquistosomiasis cada año. El número de personas tratadas contra la esquistosomiasis aumentó de 12,4 millones en 2006 a 33,5 millones en 2010. Corren el riesgo de contraer la infección las personas que realizan actividades agrícolas, domésticas o recreativa ...

5.2- miscelánea: enfermedades de temporada 6_comunicación/sexualidad/autoestima/creencias y valores fiebre amarilla ...

La fiebre amarilla es una enfermedad vírica aguda, hemorrágica, transmitida por mosquitos infectados. El término "amarilla" alude a la ictericia que presentan algunos pacientes. La mortalidad de los casos graves no tratados puede llegar al 50%. Se calcula que cada año se producen en el mundo 200 000 casos de fiebre amarilla que causan unas 30 000 muertes. El virus es endémico en las zona ...

consejos 5.2- miscelánea: enfermedades de temporada 6_comunicación/sexualidad/autoestima/creencias y valores

La oncocercosis o "ceguera de los ríos? está causada por el parásito Onchocerca volvulus, un gusano. Entre sus síntomas se encuentran prurito intenso, afecciones cutáneas desfigurantes y discapacidad visual, que puede llegar a la ceguera permanente. La infección se transmite a las personas por la picadura de diversas especies de mosca negra infectadas (Simulium spp.). Más del 99% de ...

consejos 5.2- miscelánea: enfermedades de temporada 6_comunicación/sexualidad/autoestima/creencias y valores

Hay tres formas principales de leishmaniasis: visceral (la forma más grave de la enfermedad, a menudo conocida como kala-azar), cutánea (la más común) y mucocutánea. La leishmaniasis es causada por un protozoo parásito del género Leishmania, transmitido por la picadura de flebótomos infectados. La enfermedad, que afecta a las poblaciones más pobres del planeta, está asociada a la malnutrición, los ...

consejos 5.2- miscelánea: enfermedades de temporada 6_comunicación/sexualidad/autoestima/creencias y valores

El paludismo, o malaria, es una enfermedad potencialmente mortal causada por parásitos que se transmiten al ser humano por la picadura de mosquitos infectados. En 2012, el paludismo causó cerca de 627 000 muertes (con un margen de incertidumbre que oscila entre 473 000 y 789 000), sobre todo en niños africanos. El paludismo es prevenible y curable. Gracias al aumento de las medidas de prevención y ...

suero antidifteria vacuna difteria ...

Se habla estos días de un caso de difteria infantil y a todas las madres nos preocupa....¿Qué es la difteria?. ¿Cómo se contagia?. ¿Mi niño estará vacunado? La difteria ¿Qué es? Ya se conocía esta enfermedad en el siglo V antes de Cristo, así que como ves, el bacilo causante de la difteria hace muchos ,muchos siglos que convive con nosotros. Fue en el año 1921 cuando Behring obtuvo el suero antidi ...

consejos

Es difícil saber qué pensamos los sanitarios de la muerte cuando nada nos dista del resto de sociedad en estos ámbitos. La muerte o su idea se torna triste, melancólica, meditabunda, gris, negra. Como enfermera entiendo que la muerte se parece más al fracaso profesional de lo se le parecerá nunca otra cosa. Me equivoco. Nos equivocamos. La muerte es tan solo otra etapa. La muerte ...