Manchas en la piel: El estrés posee un gran impacto en nuestra salud ya que puede generar cambios en la circulación sanguínea, descontrol del sistema hormonal, y conllevar a que la dermis envejezca de manera prematura al causar manchas en la piel. En la actualidad el estrés se ha establecido como una enfermedad muy cotidiana.
Una vida con ritmo agitado, el estar bajo presión y en constante movimiento, atentos a un millón de cosas al mismo tiempo ocasiona que nuestro cuerpo entre en un ambiente tenso de manera general, que como consecuencia pudiese afectarnos de muchas maneras.
Bien se sabe que el estrés es una respuesta automatizada de nuestro organismo a ciertas “amenazas” y que por ende nos colocamos más alerta ante cualquier situación.
Lo que se genera cuando el estrés alcanza niveles sumamente exagerados, es que pasa de ser algo emocional y psicológico a ocasionar daños en nuestra integridad física. Cuando nos mantenemos estresados nuestro cuerpo genera una cantidad importante de reacciones.
Una de las consecuencias que más se hace notar es el daño en nuestra piel, ya que con los desequilibrios hormonales que produce, la circulación de la sangre se ve afectada y retrasa la liberación de toxinas. Todo esto se ve reflejado en la dermis, por lo que pudiese causar manchas en la piel
¿Sabes qué es la psicodermatología?
La piel es el órgano más grande de nuestro cuerpo y por eso es ahí donde se refleja de primero cualquier inconveniente que nos esté afectando.
Los síntomas más recurrentes son:
Manchas
Enrojecimiento
Acné
Sarpullido
Urticaria
También puede complicar enfermedades que ya nos afectan como el herpes o la psoriasis. De la misma forma en que los nervios intervienen en nuestro estómago, el estrés afecta la piel.
El cansancio, la fatiga y el insomnio generado por el estar constantemente estresado hacen que la piel adquiera un aspecto enfermizo, por lo que se causa manchas en la piel.
Ya está comprobado que entre un 30 % y un 60 % de la gente que tiene algún inconveniente dermatológico es por causa de un problema psicológico que no se ha tratado. De esto es donde nace un subcampo de la dermatología al cual se le ha nombrado psicodermatología.
Su función es la de encontrar métodos alternativos para curar pacientes con características de estrés crónico.
¿Cómo reacciona la piel ante el estrés para poder causar las manchas?
El cuerpo cuenta con una hormona que es nombrada cortisol, que se produce de manera excesiva cuando nos encontramos estresados .Esta es la primera causante del descontrol en nuestra piel, ya que incrementa los niveles de sebo y, por ende, la presencia de bacterias maliciosas.
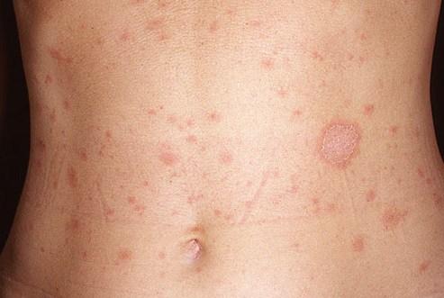
Manchas en la piel
Pueden aparecer en casi cualquier zona de nuestro cuerpo, aunque es más regular que se hallen en la cara, por las mejillas y la frente. Pueden ser de distintos tamaños y color pero suelen ser de un tono rojizo y con una textura determinada.
Caspa
Aunque de seguro no lo supieses, la caspa es un problema dermatológico que se encuentra en el cuero cabelludo y sí, puede aparecer gracias al estrés.
Como te decíamos anteriormente, al estresarnos aumenta la producción de cortisol y este a su vez genera sebo. Este es el responsable de la caspa debido a su gran concentración en el cuero cabelludo.
Ya ha sido demostrado que el estar con estrés por un largo tiempo pudiese debilitar nuestro cabello. Lo cual produce caída y, en casos más extremos, alopecia.
Urticaria
La urticaria hace presencia debido al incremento de la producción de histaminas. Este puede generarse ante una situación estresante, y causar picazón y ardor en la piel.
Sudoración
El estrés genera altas descargas de adrenalina, lo que puede ser responsable de hiperhidrosis. Como dato un buen dato te diremos que el sudor producido en situaciones de estrés pudiese tener peor olor que el normal.
Tratamiento para la piel afectada por estrés
Lo primero que te diremos es que vayas con tu médico y le hables sobre los síntomas que estas teniendo para que te indique un tratamiento apropiado.
Si llevas una vida con estrés continúo y sientes que cuando más estrés tienes, es que se hacen presentes estos síntomas, debes empezar a analizar qué está ocurriendo y cómo reducirlo.
La entrada se publicó primero en Los Mejores Remedios Caseros .




