El problema de la Dosis de radiación en la URO TC (por Miguel Ángel de la Cámara Egea)



El otro día leí un interesante post de Miguel Ángel de la Cámara Egea en su portal "Radiología Club". Es sabido que blogger tiene muchas virtudes, pero la de permitir rebloguear algo de WordPress no es una de ellas, con lo que le pedí permiso para copiar su post y plasmarlo aquí. Aunque está más enfocado a profesionales de la radiología y otros profesionales sanitarios, en general, puede resultar muy interesante para muchos lectores del blog.

Hace tiempo que me pregunto si es posible reducir la enorme Dosis que recibe un paciente cuando se le realiza la prueba diagnóstica denominada URO TC.

La URO-CT es una técnica diagnóstica optimizada para visualizar riñones, uréteres y vejiga mediante su examen con cortes finos (con TCMD), con la administración de contraste iodado y adquisición de imágenes en la fase excretora renal.



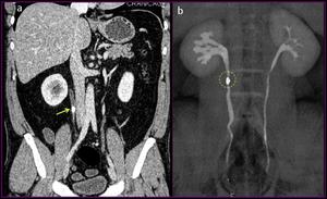
Vista coronal y post proceso en URO TC



Actualmente los TCMD (TAC con multidetector) permiten realizar estudios y obtener imágenes con alta resolución espacial y temporal, esto sumado a las reconstrucciones en tridimensionales (3D) y multiplanares de gran calidad han hecho que la URO-TC sea el estudio de elección en el diagnóstico de patología del tracto urinario, reemplazando a la urografía excretora (UIV)

Las indicaciones para la realización de la URO-CT son similares a las de la UIV, pero la URO-CT ofrece mayor sensibilidad (95.8% vs 75%) .

El problema básico radica en la obtención en varias fases – barridos, ya que el URO-TC clásico: consta de 4 fases:

Fase sin contraste (abdomen-pelvis): búsqueda de litiasis. Se debe comparar el realce de lesiones.

Fase córtico-medular: sólo riñones 35-40

Fase nefrográfica (sólo riñones, 90´´ aproximadamente), posee la mayor sensibilidad para detectar masas renales y comparar realce inequívoco tras la administración de contraste.

Fase excretora (abdomen-pelvis): realizada 5-15 minutos desde la inyección del contraste. Para evaluar el urotelio.

Recordemos dos datos importantes:

El URO TC se emplea cuando no hay excreción mecánica de la litiasis y si ésta es de 7 mm igual o mayor.

El paciente no necesita preparación previa al estudio, pero si hay que tomar en cuenta las alergias a contrastes yodados y los pacientes con historial de reacción adversa al contraste.


Split Bolus en URO TC

En la actualidad ya se realiza el protocolo de UROTC-Split bolus de contraste, ya que implica menor dosis de radiación, este protocolo consiste en solo dos fases:

1. Fase sin contraste (baja dosis/dosis ultra baja)

2. Fase mixta nefrográfica-excretora.

1. i. Se inyecta 75 mL de contraste iv., seguido de un bolo de 150 mL de solución salina.

2. ii. Se espera 8-10 min.

3. iii. Se inyecta un segundo bolo de 75 mL de contraste y se inyecta 50 mL de solución salina nuevamente y se realiza la adquisición de imágenes con un retardo de 100 seg (fase nefrográfica).

Esta técnica reduce la radiación efectiva recibida por el paciente, al eliminar fases de la UroTAC convencional.

Dosimetría en URO TC

Habitualmente un Tc de cerebro aporta 2 mSv por exploración, mientras que un Tc de abdomen aporta 10 mSv por exploración. Por tanto, aproximadamente cada fase o adquisición aportan casi 10 mSv al paciente, por lo que en el estudio completo de UroTac, se alcanzarían los 40 mSv, aunque lo típico es el URO TC sin utilizar la fase cortico medular (3 fases).

Recordatorio en magnitudes:

DLP: es el producto de la dosis en un corte multiplicado por la longitud total del TAC. Por tanto es el Producto dosis por longitud (mGy cm)

La dosis efectiva (mSv) tiene en cuenta la dosis que recibe el paciente y la zona donde se ha irradiado. Relaciona la dosis efectiva y el riesgo individual ¿Cómo se calcula? Es el producto del DLP por un coeficiente que tiene en cuenta la zona anatómica irradiada. D efectiva = DLP x coeficiente. El coeficiente de abdomen es 0.015 y el de pelvis es 0.016

Optimización

La clave en este asunto es la Cultura de Seguridad, que debe implantarse desde el Jefe del Servicio de Radiología y contar con la participación y concienciación de todo el personal. No sólo se trata de querer, sino de saber. Y por supuesto, implicar a los agentes importantes de la ‘dosimetría’: Los Físicos médicos.

¿Qué se puede hacer para reducir la dosis?

- Eliminar una o más adquisiciones a través del uso de técnicas como Triple Bolus y Split Bolus.

- Disminuir parámetros de mA con el uso de modulación de la corriente.

- Utilizar filtros matemáticos de baja frecuencia

- Disminuir series y rangos cubiertos por cada adquisición (hígado, bazo y riñones son órganos claves de absorción, que elevan siempre la estimación de DLP.

- Determinar un límite de series.

Dos ideas

1º.- El Radiólogo Eliseo Vañó (Hospital Clínico San Carlos y Hospital Nuestra Señora del Rosario, ambos de Madrid), demostró en la Masterclass de Bayer España Dosis en Radiología (noviembre 2015) que usando la estación de trabajo Certegra P3T (gestión de dosis de contraste) junto con el de gestión y análisis de datos de dosis Radimetrics tm (que remite información sobre la desviación del protocolo de inyección), ha logrado resultados – como evidencian las imágenes abajo – de reducción de dosis en URO TC.



Eliseo Vañó explicando la aplicación de Radimetrics y Certegra para reducir Dosis de contraste y de radiación en URO TC





Empleo de protocolo Split Bolus (Volumen sin contraste + Volumen con contraste)



Conclusiones de resultados

Para consultar el producto Radimetrics y Certegra puedes clicar aquí:

(http://www.radiologysolutions.bayer.com/products/ct/dosemanagement)

2.- También podemos incluir gestión post proceso de la imagen a través de tecnologías que mantengan la Precisión Diagnóstica en los tejidos y hallazgos. Entiendo que llegará una tecnología para el CT parecida a la que usa Toshiba con su software (Time-SLIP: Spatial Labeling Inversion Pulse) para Resonancia que evita el contraste de resonancia y que ofrece esta imagen:



Con estas tecnologías: ¿podemos reducir las dosis de barrido en el URO TC?

Referencias

Papel actual de la URO-TC en el diagnóstico de patología renal y urológica Presentación Electrónica Educativa (Congreso SERAM 2014)

Urografía por Tomografía Computada Multicorte (UROTAC): Estudio descriptivo utilizando la técnica de ‘Split Bonus’. Revista Chilena de Radiología. 2009

Urografía (Urografía, UROTAC, URORM) para Pacientes en Radiologyinfo

Guía clínica sobre la urolitiasis European Association of Urology 2010

Agradecer a Miguel Ángel el permitirnos disponer de este post tan interesante

Fuente: este post proviene de Mi Vida con un Cateterdoblej, donde puedes consultar el contenido original.
¿Vulnera este post tus derechos? Pincha aquí.
Creado:
¿Qué te ha parecido esta idea?
Esta información nunca debe sustituir a la opinión de un médico. Ante cualquier duda, consulta con profesionales.

Esta idea proviene de:

Y estas son sus últimas ideas publicadas:

Recomendamos

Relacionado

rayos x resonancia magnética tac ...

El otro día leí un interesante post de Miguel Ángel de la Cámara Egea en su portal "Radiología Club". Es sabido que blogger tiene muchas virtudes, pero la de permitir rebloguear algo de WordPress no es una de ellas, con lo que le pedí permiso para copiar su post y plasmarlo aquí. Aunque está más enfocado a profesionales de la radiología y otros profesionales sanitarios, en general, pued ...