Diastema, ¿defecto o moda?

Empecemos definiendo la palabra diastema. Para todos aquellos que nunca habéis escuchado esta palabreja, es el espacio o hueco que hay entre dos dientes.

Los diastemas son muy fácil verlos en los niños con dientes de leche, ya que estos son mas pequeños que los dientes definitivos, cuando erupcionan los dientes definitivos (por lo general mas grandes que los de leche) los huecos entre dientes van desapareciendo. Pero también son muy frecuentes en adultos.

En la mayoría de los casos los diastemas se sitúan entre los dos incisivos centrales superiores “paletas” pero también pueden aparecer en el resto de la boca.

Causas del diastema.

Existen varios factores por el cual tener espacios entre los dientes.

Cuando los diastemas existen entre varios dientes es porque hay un desajuste entre el tamaño de los dientes y el de los maxilares, los dientes son muy pequeños en relación al hueso y por eso se crean los espacios entre dientes.
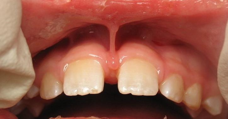
frenectomia


A veces el frenillo que une el labio superior con la encía es demasiado grande y crece hasta ocupar parte del espacio que hay entre los dientes, esto ocurre entre los incisivos centrales superiores “paletas”.

El diastema también se produce en aquellas personas que tienen los incisivos superiores laterales “los dientes de al lado de las paletas” muy pequeños lo que hace que los incisivos centrales se separen para cerrar huecos.
¿Como se puede corregir un diastema?

El diastema es algo meramente estético, no supone ningún riesgo para la salud de nuestros dientes pero muchas personas optan por un tratamiento para eliminarlo.En ocasiones el diastema es parte de una serie de problemas de alineación de los dientes que pueden corregirse con un tratamiento de ortodoncia ( aparato).

Cuando el espacio oscila entre 0,5 y 2 mm, la resina compuesta ( la misma pasta que se usa para hacer empastes) es una opción para cerrar el espacio. Pero cuando los espacios son de mas de 3mm hay que recurrir a la opción anterior, ortodoncia.

Y te estarás preguntando ¿para cerrar ese pequeño espacio necesito ortodoncia en toda la boca? pues si y es algo muy importante que debes saber si estas dispuesto a cerrar tu hueco: para crear un diastema o corregir un diastema no es suficiente con mover los dos dientes centrales que deseas juntar o separar, sino que es necesario modificar la posición de todos los dientes para que la oclusión dental (mordida) sea perfecta.

diastema antes y después


Si es un frenillo labial demasiado grande el causante de tus paletas separadas, existe un tratamiento de cirugía oral denominado frenectomía, que reduce su tamaño. Se trata de una operación sencilla y sin riesgos para el paciente. Se lleva a cabo con anestesia local y básicamente consiste en cortar el frenillo y posteriormente suturar la herida.

En niños, la frenectomía suele ser suficiente para cerrar el hueco entre los incisivos, porque ya no ejercerá presión sobre los incisivos y los dientes se desarrollarán normalmente; los adultos deberán realizarse un tratamiento de ortodoncia complementario para cerrar el hueco entre los dientes.

Las últimas opciones que debes usar para cerrar el hueco son las carillas o coronas, seguramente en algún caso sea mas recomendable que la ortodoncia, pero es el tratamiento menos conservador para el diente.

Te he dado muchas opciones para poder eliminar tu diastema pero realmente.. ¿quieres hacerlo?

Diastema ¿defecto o moda?

Hacer de los defectos una virtud y además una virtud muy atractiva es lo que consiguen a veces las divas de Hollywood. Algunas de las celebrities decidieron en su momento que podían ser igual de sexys con algunos de sus defectos físicos o, incluso más, que sin ellos, y así es como hemos llegado al punto en el que muchos hombres y mujeres desean tener un diastema.

Desde el año 2000 el diastema se ha puesto muy de moda pero lo cierto es que esta tendencia tiene su origen en el cine frances del siglo XX en la sonrisa imperfecta de Brigitte Bardot.

Actualmente Madonna ,Laura Pausini o Dani Martín lo tienen.

diastema de moda
Se ha puesto tan de moda que en la actualidad es un tratamiento demandado en las clínicas dentales, el diseñador David Delfin reconoció que le gustaba tanto la separación entre dientes que había recurrido a la ortodoncia para conseguir el diastema.

Sin embargo no es un tratamiento que se recomiende ya que se pierde el engranaje perfecto de los dientes provocando a su vez otro tipo de problemas como dolores de cabeza, dolores musculares y cervicales o problemas de encías. 

Si la naturaleza te ha dotado de este defecto dental, estas de suerte porque esta de moda, pero en caso de que no sea así, no arriesgues a perder tu sonrisa por caprichos de la moda. La moda va y viene y tu sonrisa siempre será maravillosa.

¿Tienes o has tenido un diastema? ¡¡Cuéntanos tu experiencia!!

Fuente: este post proviene de Higienista en Casa, donde puedes consultar el contenido original.
¿Vulnera este post tus derechos? Pincha aquí.
Creado:
¿Qué te ha parecido esta idea?
Esta información nunca debe sustituir a la opinión de un médico. Ante cualquier duda, consulta con profesionales.

Esta idea proviene de:

Y estas son sus últimas ideas publicadas:

Etiquetas: BlogSabías que...

Recomendamos

Relacionado

Estética

¿Te separarías tus dientes solo por ser trendy? Los famosos han vuelto a poner de moda el diastema dental – como se llama a la pequeña separación entre los dientes incisivos superiores- desatando la fiebre por una tendencia de alto riesgo que excede los parámetros estéticos e incluso que puede amenazar a la salud bucodental. La obsesión por la imagen y por ser fiel a una tendencia está desat ...

Sabías que...

La estética dental es algo que preocupa a cualquiera, ¿Quién no quiere tener una sonrisa perfecta? Pues es por eso que hoy vamos a hablar sobre los tratamientos más comunes de estética dental que más se realizan los pacientes. ¿Qué es la estética dental? La estética dental es la especialidad dentro de la Odontología, cuyo objetivo consiste en mejorar la apariencia física en la sonrisa de las perso ...

dentista dientes estetica dental ...

¿Tienes los dientes separados? Los dientes separados es un problema dental que formalmente se denomina diastema. Aunque es un tendencia que se ha puesto de moda entre famosos y modelos profesionales, que incluso han pagado para separarlos, sigue siendo un problema de salud bucodental. Lo cierto es que es recomendable juntar los dientes, ya no solo por estética sino también para mantener la salud ...

Frenillos bucales, ¿qué son y qué problemas llevan asociados? Cuando abrimos la boca no solemos tener mucha dificultad para localizar y distinguir la lengua, las amígdalas o la campana. Pero hay una parte con la que no estamos tan familiarizados. Se trata de esa zona situada en el interior de la boca que une la lengua con el fondo y aquella que está en la parte frontal, entre el labio y la encía s ...

odontología

Dentro de la odontología, los tratamientos ortodóncicos, además de ser uno de los más renombrados, son también algunos de los que más dudas e interrogantes genera entre los pacientes. En su aspecto más amplio, a través de la ortodoncia se consigue la corrección de dientes y huesos que están posicionados incorrectamente. Estas malformaciones se conocen también como maloclusiones dentales. Mediante ...

Temas Higiene Bucodental

REGIONES ANATÓMICAS DENTARIAS El diente consta desde fuera hacia dentro, de: -Corona: parte del diente que se observa fácilmente al reír. -Cuello: une la corona con la porción radicular fácilmente se observa donde termina el diente y comienza la encía. -Porción radicular: articula el diente uniéndolo con los maxilares. -Cámara pulpar: se encuentra en la corona y contiene la pulpa. -Conducto radicu ...

Ortodoncia Ortodoncia fija Ortodoncia Invisible

¿Ha tomado la decisión de que le gustaría enderezar sus dientes y mejorar su sonrisa, pero no está seguro de cuál es la ortodoncia adecuado para usted? Gracias a los nuevos sistemas de ortodoncia, cada vez son más los adultos que eligen el tratamiento que mejor se adapta a sus necesidades como la ortodoncia fija o invisible. A la hora de elegir entre las técnicas tradicionales de ortodoncia fija y ...

Ortodoncia

Uno de cada tres pacientes que han decidido mejorar la estética de su sonrisa mediante una Ortodoncia para adultos. Esta es una afirmación que seguramente sorprenda, pero resulta que los nuevos sistemas ortodóncicos, prácticamente imperceptibles, han reemplazado definitivamente a las antiestéticas ortodoncias asociadas a adolescentes y niños. Nunca es tarde para iniciar un tratamiento de ortodonci ...

Endodoncia Implantes dentales Odontología estética ...

Os presentamos el caso de Sara, una paciente joven, de 19 años, que vino a la consulta después de sufrir un traumatismo facial a causa de una caída. Como consecuencia del accidente, sus dos incisivos superiores sufrieron daños importantes. El golpe arrancó el incisivo superior derecho y además partió la cara exterior del maxilar que recubre el diente, perdiendo de este modo la cortical externa del ...

ortodoncia salud salud bucal ...

¿Tienes los dientes torcidos o mal alineados? ¿Molestias al masticar? ¿Una mala mordida? Estos y otros problemas pueden ser fácilmente solucionados con una ortodoncia. Se trata de un proceso largo y algo caro, pero tras unos meses de tratamiento podrás lucir una sonrisa sana y casi perfecta. ¿Cómo sé si necesito una ortodoncia? Solo tu dentista y ortodoncista sabrá con exactitud ...