El periodonto incluye la encía, el hueso alveolar, el cemento y el ligamento periodontal
GINGIVITIS.
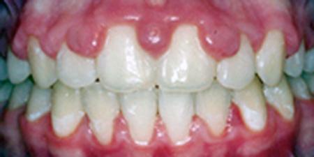
La higiene oral deficitaria provoca la acumulación de placa dentaria en la interfase gíngivo-dentaria que activa una respuesta inflamatoria con enrojecimiento e hinchazón localizada o generalizada de la encía. Más de la mitad de los niños estadounidenses en edad escolar presentan gingivitis. En algunos casos, la encía sangra de forma espontánea y el aliento huele mal. El tratamiento consiste en una higiene oral adecuada (cepillado dental cuidadoso acompañado de limpieza de los dientes con hilo dental), con lo que cabe esperar una resolución completa del cuadro. Las fluctuaciones en los niveles hormonales durante el comienzo de la pubertad pueden aumentar la respuesta inflamatoria a la placa. Es improbable que la gingivitis en los niños sanos progrese a periodontitis (inflamación del ligamento periodontal que provoca pérdida del hueso alveolar).
PERIODONTITIS AGRESIVA EN NIÑOS (PERIODONTITIS PREPUBERAL).
La periodontitis que aparece en los niños antes de la pubertad es una rara enfermedad que comienza frecuentemente entre el tiempo de la erupción de los dientes primarios y los 4 o 5 años de edad. La enfermedad se produce en formas localizadas y generalizadas. Hay una rápida pérdida ósea, lo que con frecuencia lleva a una pérdida prematura de los dientes primarios. Con frecuencia se asocia con procesos sistémicos como neutropenia, adhesión leucocitaria o defectos de migración, hipofosfatemia, síndrome de Papillon-Lefèvre, leucemia e histiocitosis X. En muchos casos, sin embargo, no aparece un problema médico subyacente. No obstante, son necesarias las labores diagnósticas para descartar una enfermedad sistémica de base. El tratamiento comprende una limpieza dental agresiva realizada por un profesional, extracción estratégica de los dientes afectados y antibioticoterapia. Aunque hay pocos estudios que reflejen el éxito del tratamiento a largo plazo si existe pérdida ósea alrededor de los dientes primarios, es necesario un seguimiento diagnóstico para descartar una enfermedad sistémica subyacente.
PERIODONTITIS AGRESIVA EN ADOLESCENTES (PERIODONTITIS JUVENIL LOCALIZADA).
La periodontitis agresiva en adolescentes se caracteriza por una pérdida acelerada del hueso alveolar, sobre todo alrededor de los incisivos permanentes y primeros molares.
Esta forma de periodontitis se asocia con una cepa de la bacteria Actinobacillus. Además, los neutrófilos de los pacientes afectados por la periodontitis agresiva pueden tener defectos quimiotácticos o fagocíticos. Si se deja sin tratamiento, los dientes afectados pierden su fijación y se caen. Los métodos terapéuticos varían según la gravedad de la afectación. Los enfermos diagnosticados al comienzo del proceso se suelen tratar con desbridamiento quirúrgico o no quirúrgico junto con tratamiento antibiótico. El pronóstico depende del grado de afectación inicial y del exacto cumplimiento del tratamiento.
DENTICIÓN
La dentición puede provocar una ligera molestia intermitente localizada en la zona de erupción de los dientes primarios, irritabilidad, febrícula y sialorrea; sin embargo, muchos niños no presentan problemas. El tratamiento de los síntomas incluye analgésicos orales y aros helados para que el niño los «masque». Una sintomatología similar puede aparecer cuando erupcionan los primeros molares permanentes, hacia los 6 años de edad.
¿Como prevenir la caries dental en niños? Dale click a este enlace
HIPERTROFIA GINGIVAL INDUCIDA POR CICLOSPORINA O FENITOÍNA.
La administración de ciclosporina para suprimir el rechazo de los órganos o de la fenitoína como terapia anticonvulsivante, y en algunos casos de los bloqueantes de los canales del calcio, se acompaña de una hipertrofia generalizada de las encías. La fenitoína y sus metabolitos poseen una acción estimulante directa sobre los fibroblastos gingivales que provoca una síntesis acelerada del colágeno. La fenitoína induce menos hiperplasia gingival en los pacientes que mantienen una higiene meticulosa de la boca.
La hiperplasia gingival aparece en el 10-30% de los pacientes tratados con fenitoína. Las manifestaciones graves son: 1) engrosamiento macroscópico de la encía que, a veces, llega incluso a cubrir los dientes;
2) edema y eritema de la encía; 3) infección secundaria que acaba en la formación de abscesos; 4) desplazamiento de los dientes, y 5) falta de la caída de los dientes primarios y subsiguiente impactación de los dientes permanentes. El tratamiento se ha de enfocar hacia la prevención y, si es posible, se suprime la administración de fenitoína o ciclosporina. Los pacientes que han de seguir un tratamiento con dichos fármacos durante mucho tiempo precisan una revisión dental frecuente y una higiene de la boca muy cuidadosa. Las formas graves de hipertrofia gingival han de tratarse con gingivectomía; sin embargo, la lesión recidivará si se continúan administrando los fármacos implicados.
PERICORONITIS AGUDA.
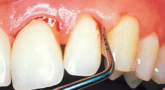
Es una inflamación aguda del repliegue gingival que cubre parcialmente la corona de un diente que no ha erupcionado del todo; afecta con mayor frecuencia a los molares permanentes mandibulares. La acumulación de residuos y bacterias entre el repliegue gingival y el diente causa una respuesta inflamatoria. Una variedad de esta situación es el absceso gingival debido al atrapamiento de bacterias procedentes de bandas o coronas ortodóncicas. La inflamación se puede asociar con trismo y dolor intenso. Si no se aplica tratamiento, puede provocar infección de los espacios faciales y celulitis facial.
El tratamiento consiste en desbridamiento y lavado local, colutorios de solución salina caliente y antibioticoterapia. Cuando la fase aguda ha remitido, el tratamiento pretende evitar las recidivas, lo que se puede lograr si se extrae el diente o el colgajo gingival. Un diagnóstico precoz de la impactación parcial de los terceros molares mandibulares y su posterior extracción evita que se desarrolle la pericoronitis en estas zonas.
ENFERMEDAD PERIODONTAL NECROSANTE (GINGIVITIS ÚLCERO-NECROSANTE AGUDA).
La enfermedad periodontal necrosante, en el pasado conocida también como «boca de las trincheras», es una enfermedad periodontal específica asociada con fusobacterias y espiroquetas bucales. Sin embargo, no está claro si las bacterias inician la enfermedad o son invasores secundarios. Es raro que aparezca en los niños sanos de países desarrollados, con una prevalencia en Estados Unidos de <1%, pero se observa más frecuentemente entre los niños y adolescentes de áreas en desarrollo de África, Asia y Sudamérica. En ciertos países africanos, donde es frecuente que los niños sufran de malnutrición proteica, la lesión puede extenderse hasta los tejidos adyacentes, causando necrosis de las estructuras faciales (cancrum oris o noma). Las manifestaciones clínicas de la enfermedad periodontal necrosante incluyen: 1) necrosis y ulceración de la encía interdental, 2) una seudomembrana grisácea adherente sobre la encía afectada, 3) halitosis, 4) adenopatías cervicales, 5) malestar y 6) fiebre. El proceso se ha de diferenciar de la gingivoestomatitis herpética aguda. El estudio microscópico con campo oscuro de los residuos procedentes de las lesiones necrosantes demostrará densos acúmulos de espiroquetas.
El tratamiento de la enfermedad periodontal necrosante se divide en un tratamiento agudo con desbridamiento local, sustancias oxigenantes (aplicación directa de peróxido de carbamida al 10% en glicerol anhidro cuatro veces al día) y analgésicos. Generalmente aparece una resolución espectacular a las 48 horas tras el inicio del tratamiento. Si un paciente tiene fiebre, los antibióticos (penicilina o metronidazol) pueden ser un tratamiento auxiliar importante. Puede ser necesario aplicar una segunda fase de tratamiento si se ha provocado daño morfológico irreversible del periodonto. La enfermedad no es contagiosa.
Deberías leer: Lesiones mas frecuentes de los tejidos blandos de la boca
Algunos traumatismos dentarios
Las lesiones traumáticas de la boca se pueden clasificar en tres grupos: 1) lesiones dentarias, 2) lesiones de los tejidos blandos (contusiones, laceraciones, abrasiones, punciones, avulsiones, quemaduras) y 3) lesiones de la masa ósea de las mandíbulas (fracturas maxilares, mandibulares o ambas).
LESIONES DENTARIAS.
Alrededor del 10% de los niños entre los 18 meses y los 18 años sufren traumatismos dentarios importantes. Hay, al parecer, tres edades con mayor predilección: 1) la edad preescolar (1-3 años), en la que abundan, en general, las caídas y abusos de los niños; 2) la edad escolar (7-10 años), cuando suelen ser secundarios a accidentes de bicicleta y de los patios de recreo, y 3) los adolescentes (16-18 años), cuando los traumatismos dentarios suelen deberse a peleas, accidentes deportivos y de automóvil. Las lesiones dentarias son más frecuentes en los niños con dientes salientes. Los niños con malformaciones craneofaciales o con déficit neuromusculares también presentan más riesgo de sufrir lesiones dentarias. Las lesiones dentarias pueden afectar a los tejidos dentarios duros, la pulpa dental (nervio) y las estructuras periodontales (hueso circundante y tejidos de sostén)
Las fracturas de los dientes pueden ser no complicadas (se limitan a los tejidos dentarios duros) o complicadas (afectan a la pulpa). Si la pulpa queda al descubierto se contaminará con bacterias, lo que puede provocar infección y necrosis pulpar. En este caso, el tratamiento se complica y se ensombrece el pronóstico. Los dientes que se afectan con mayor frecuencia son los incisivos maxilares. Las fracturas no complicadas de la corona se tratan cubriendo la dentina expuesta y colocando una restauración estética. Las fracturas complicadas de la corona suelen requerir un tratamiento endodóncico (del conducto radicular). Las fracturas de la raíz y de la corona-raíz suelen requerir un tratamiento dental amplio. Si estas lesiones afectan a los dientes primarios pueden provocar un desarrollo alterado de la dentición permanente, por lo que las lesiones significativas de los incisivos primarios han de ser tratadas mediante extracción.
Las lesiones traumáticas de la cavidad oral deben ser atendidas por el odontólogo lo antes posible, incluso aunque parezca que los dientes están intactos. El conjunto de los datos iniciales (radiografías, patrones de movilidad, respuesta a estímulos específicos) permite al dentista valorar la posibilidad de complicaciones futuras.
LESIONES DE LAS ESTRUCTURAS PERIODONTALES.
Los traumatismos dentales que afectan a las estructuras periodontales encargadas del sostén de los dientes generalmente se asocian con desplazamiento o movilidad de los mismos. Los traumatismos del periodonto se clasifican en: 1) contusión, 2) subluxación, 3) intrusión, 4) extrusión y 5) avulsión.
Contusión. Las agresiones que provocan lesiones poco importantes del ligamento periodontal se denominan contusiones. Los dientes no presentan movilidad ni desplazamiento, pero reaccionan muy intensamente a la percusión (golpeo suave de los dientes con un instrumento).
Este tipo de lesión generalmente no exige tratamiento y se resuelve sin complicaciones. Los incisivos primarios que sufren contusiones pueden cambiar de color; este signo suele ser sinónimo de degeneración pulpar y precisa estudio por el odontólogo.
Subluxación. Los dientes subluxados muestran una movilidad horizontal de ligera a moderada, vertical o ambas. Suele haber hemorragia alrededor del cuello del diente, en el reborde gingival. No hay desplazamiento del diente. Muchos dientes subluxados precisan ser inmovilizados con férulas acrílicas para garantizar la suficiente reparación del ligamento periodontal. Algunos de estos dientes presentarán necrosis de la pulpa.
Intrusión. Los dientes incrustados son impulsados hacia adentro, en ocasiones hasta tal punto que clínicamente no son visibles. Los incisivos primarios incrustados pueden dar la falsa impresión de haber sufrido avulsión (expulsión). Para descartar la avulsión se ha de realizar una radiografía dental
Extrusión. Esta lesión se caracteriza por un desplazamiento del diente desde su alveolo. El diente suele desplazarse hacia el lado lingual, con una fractura de la pared del alveolo. Estos dientes han de ser tratados de inmediato; cuanto mayor sea la demora, más probabilidades habrá de que el diente quede fijo en posición anormal. El tratamiento consiste en la reducción (colocación del diente en su lugar) y fijación (férulas acrílicas). Además, con frecuencia la pulpa de estos dientes se necrosa y requiere endodoncia. La luxación hacia fuera de los dientes primarios suele tratarse con extracción, pues las complicaciones de la reducción y la fijación pueden acabar en problemas para el desarrollo de los dientes permanentes.
Avulsión. Si un diente permanente que ha sido expulsado se reimplanta en los 20 minutos siguientes a la lesión, se puede conseguir un buen resultado; sin embargo, si el retraso supera las 2 horas, es frecuenten el fracaso (reabsorción de la raíz, anquilosis). La posibilidad de que el diente reimplantado vuelva a quedar fijo depende de la viabilidad del ligamento periodontal. A los padres que presencien esta situación de urgencia se les ha de instruir para que:
Recuperen el diente.
Enjuaguen el diente. (No lo restriegue. No toque la raíz. Después de cerrar el desagüe del lavabo, sujete el diente por la corona y enjuáguelo con agua del grifo.)
Coloquen el diente en su alveolo. (Vuelva a ponerlo suavemente en su posición normal.
No se preocupe si el diente sobresale ligeramente. Si el padre o el niño están demasiado afectados para la reposición del diente, éste debe conservarse en leche de vaca fría o en otras soluciones isotónicas frías.)
Acudan inmediatamente al odontólogo. (Durante el traslado, el niño debe mantener el diente en su alvéolo con un dedo. El padre debe ponerle el cinturón de seguridad y conducir con precaución.) Una vez reimplantado, el diente ha de inmovilizarse para que quede fijo; generalmente es necesaria la endodoncia. Los primeros signos de las complicaciones que acompañan al reimplante pueden aparecer ya a la semana del traumatismo o retrasarse hasta varios años después. El seguimiento dental estricto está indicado durante 1 año como mínimo.
PROFILAXIS.
Para disminuir la posibilidad de lesiones dentarias:
Todos los niños o adolescentes expuestos a traumatismos deportivos deben llevar puesto un protector en la boca, construido por el dentista o adquirido en cualquier tienda de artículos deportivos.
Para proteger la cabeza de las caídas, los niños o adolescentes que tienen problemas neuromusculares o convulsiones han de llevar casco, que debe estar provisto, además, de protectores para la cara.
Los cascos se han de utilizar al montar en bicicleta, patinar o ir en monopatín.
Todos los niños o adolescentes con incisivos salientes deben ser estudiados por un odontólogo u ortodoncista pediátrico.
OTRAS CONSIDERACIONES. Los niños con un traumatismo dentario también pueden haber tenido un traumatismo craneal o cervical, y por tanto en estas situaciones es preciso realizar un estudio neurológico.
Debe indicarse la profilaxis del tétanos en cualquier lesión que altere la integridad de los tejidos de la boca. También se ha de considerar siempre la posibilidad de malos tratos al niño.
La entrada 7 Enfermedades Periodontales o de las Encias mas Frecuentes aparece primero en Mega Medico.





