¿Cómo se corrige la respiración oral y la deglución atípica?

La respiración oral y la deglución atípica son hábitos nocivos que se asocian a paladar estrecho, falta de espacio para la erupción de dientes permanentes (apiñamiento), maloclusión y mordida cruzada.

En nuestra clínica nos centramos en detectar estos malos hábitos en los niños y en corregirlos para promover el correcto desarrollo facial.  

Para ello nos apoyamos en la ortopedia miofuncional. El sistema que aplicamos en nuestra clínica dispone de diferentes protocolos adaptados a la edad de cada paciente y combina ejercicios y aparatos intraorales (que se utilizan una hora al día y durante toda la noche).  

Respiración oral: ¿Por qué es perjudicial?

El hábito de respirar por la boca, en lugar de por la nariz, puede estar provocado por obstrucciones de la vía aérea, como la hipertrofia de amígdalas, vegetaciones, desviaciones del tabique nasal o alergias.

En cualquier caso se trata de una conducta que, si se instaura y se consolida en el niño, incluso cuando se ha resuelto la causa, genera importantes trastornos bucofaciales.

La respiración oral interfiere en el desarrollo de la cara, dando lugar a lo que se conoce como facies adenoidea: cara larga, boca abierta, ojos saltones y mentón retrasado, que da al niño una apariencia distraída o exageradamente infantil.

La respiración oral provoca que los incisivos superiores se proyecten hacia fuera y que los maxilares se estrechen

Además hay estudios que relacionan la respiración oral con problemas de sueño y bajo rendimiento escolar.

En el ámbito bucodental, la respiración oral provoca que los incisivos superiores se proyecten hacia fuera y que los maxilares se estrechen, lo que reduce la vía aérea y dificulta el paso del aire por la nariz, generando un círculo vicioso que empeora el problema.

Deglución atípica

La deglución atípica generalmente aparece cuando el niño, en el paso de la lactancia materna a la alimentación sólida, continúa colocando la lengua como cuando succionaba el pecho, es decir, en una posición más anterior que la de los adultos y presionando contra los incisivos superiores o inferiores para tragar.

Esta interposición lingual influye negativamente en el desarrollo de los maxilares, provocando problemas de oclusión, sobre todo, mordidas abiertas en las que los dientes no contactan.

¿Cuál es la posición correcta de la lengua?

La lengua en estado de reposo debe apoyarse en la parte dura del paladar, detrás de los incisivos centrales, sin tocarlos o tocándolos muy poco.

Cuando esto no ocurre, sino que la lengua se pone entre los dientes de la arcada superior e inferior aparecen problemas a la hora de hablar (alteraciones en la fonación) y de tragar (deglución atípica).

La interposición lingual influye negativamente en el desarrollo de los maxilares, provocando problemas de oclusión, sobre todo, mordidas abiertas

Pistas para saber si mi hijo tiene deglución atípica


Respira por la boca.

Dificultad para sellar los labios; suele estar siempre con la boca abierta.

Los dientes superiores e inferiores no están en contacto y los incisivos centrales están inclinados hacia delante.

La lengua en reposo no está colocada en el paladar, sino entre las arcadas superior e inferior.

Paladar ojival o en forma de cueva (estrecho).

Dificultad para comer algunos alimentos y para tragar: a veces echan la cabeza hacia atrás.

Dificultad para pronunciar algunos fonemas como “d”, “t”, “s” o “h”.

Babeo nocturno.

Ortopedia miofuncional para corregir la respiración oral y la deglución atípica

Como ya hemos comentado más arriba, muchas veces son los malos hábitos –colocar mal la lengua, deglución atípica o respirar por la boca– los que hacen que los maxilares no se desarrollen bien, la oclusión no sea la correcta o los dientes se apiñen.

En nuestra clínica prestamos especial atención a estos factores funcionales (malos hábitos) a la hora de hacer el diagnóstico y enfocar el tratamiento.

Con la ortodoncia podemos alinear los dientes y con la ortopedia podemos alinear los huesos maxilares y mandibulares pero, si buscamos una solución duradera, además debemos trabajar con los niños para transformar los malos hábitos e instaurar acciones saludables.

El caso de Gonzalo

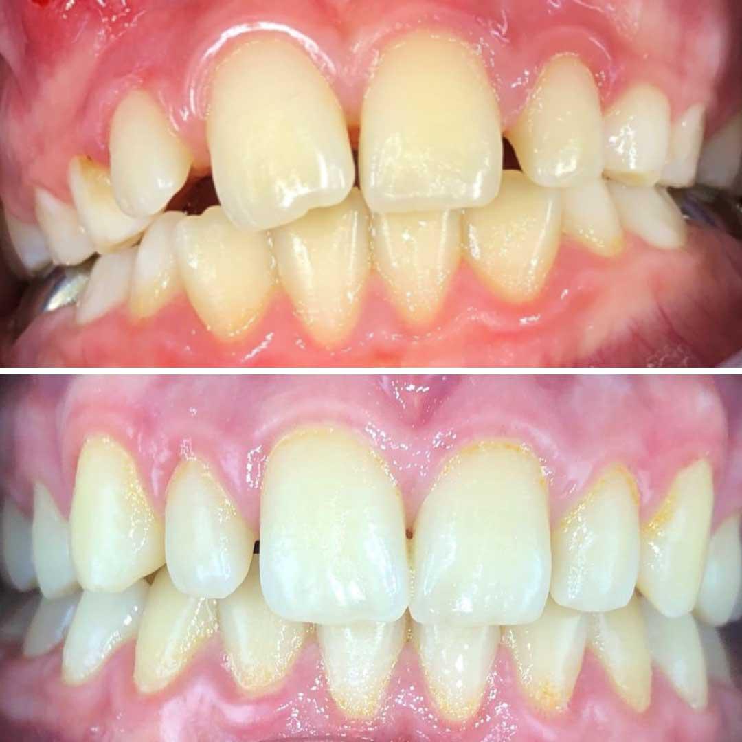
Esto es lo que hicimos con Gonzalo, un paciente de 11 años que vino nuestra consulta porque sus padres estaban preocupados por el aspecto de sus dientes (estaban desalineados).

Cuando le vimos por primera vez, tras la exploración, detectamos que tenía respiración oral y deglución atípica. Le transmitimos a sus padres que era importante que el niño corrigiese estos hábitos nocivos antes de arreglar la posición de sus dientes, ya que eran la causa principal de su problema, y remitimos el paciente a nuestra odontopediatra, la doctora Ana Wilches.

Si buscamos soluciones duraderas, debemos trabajar con los niños para transformar los malos hábitos e instaurar acciones saludables

La doctora Wilches, en su estudio, observó sobremordida horizontal y vertical, línea media desviada a la izquierda levemente, mordida abierta, diastemas, maloclusión de clase II, deglución atípica, interposición lingual, respiración oral y ausencia de sellado labial.

Además, el estudio advirtió tercio inferior facial aumentado, tercio superior facial disminuído, hipertrofia mandibular derecha, perfil cóncavo con cara prominente, prominencia de la borla del mentón, hipertrofia labial, sonrisa asimétrica, así como incisivos con biprotrusión, lengua baja, vías aéreas abiertas y ángulo nasolabial corto.

Objetivos del tratamiento


Estimular y enseñar a la lengua a ubicarse en una posición correcta para el avance mandibular.

Corregir la respiración oral.

Guiar la dentición permanente.

Entrenar los labios para mejorar su posición.

Corregir los músculos periorales.

Corregir hábitos.

Estimular la correcta masticación.

Descomprimir los músculos de la borla del mentón.

Guiar el desarrollo de los maxilares.

Plan de tratamiento

Para coseguir estos objetivos, hemos trabajado con nuestro paciente -con ejercicios y con aparatología- durante dos años.

Las sucesivos aparatos (férulas rígidas) del sistema Myobrace nos han permitido fortalecer los músculos a nivel orbicular, corregir hábitos, mejorar el desarrollo del arco y la alineación final de los dientes sin necesidad de recurrir a brackets.

A lo largo de este tiempo, hemos seguido una protocolo de revisiones mensuales en la consulta, durante las que hemos ido motivando y explicando a Gonzalo y a sus padres los ejercicios diarios que debía hacer en casa.

La ortopedia miofuncional ha corregido la respiración oral y la deglución atípica - Clínica Colmenero


Resultado

La ortopedia miofuncional corrige la respiración oral y la deglución atípica, malos hábitos que, en muchas ocasiones, son la causa de importantes problemas bucodentales, como paladar estrecho, falta de espacio para la erupción de dientes permanentes (apiñamiento), maloclusión y mordida cruzada.


Con la ortopedia miofuncional hemos conseguido fortalecer los músculos a nivel orbicular, corregir hábitos, mejorar el desarrollo del arco y la alineación final de los dientes sin necesidad de recurrir a brackets.


El resultado ha sido muy positivo. Gonzalo ha corregido la respiración oral y la deglución atípica y, a la vez, ha alineado sus dientes y ha reforzado hábitos saludables (como una buena higiene dental).

A pesar del esfuerzo que pueden entrañar algunos ejercicios para aprender a respirar y de las dificultades que tuvo que vencer al comienzo del tratamiento, Gonzalo ha colaborado de manera admirable con nuestra odontopediatra, trabajando duro tanto en la clinica como en casa.

La doctora Wilches, el doctor Colmenero y todo el equipo de nuestra clínica quiere darle la enhorabuena a Gonzalo: Gonzalo, ¡eres un paciente excelente!

Fuente: este post proviene de Blog Clínica Colmenero, donde puedes consultar el contenido original.
¿Vulnera este post tus derechos? Pincha aquí.
Creado:
¿Qué te ha parecido esta idea?
Esta información nunca debe sustituir a la opinión de un médico. Ante cualquier duda, consulta con profesionales.

Esta idea proviene de:

Y estas son sus últimas ideas publicadas:

Recomendamos

Relacionado

En este vídeo el fisioterapeuta y osteópata Toni Román explica un sencillo ejercicio tanto para adultos como niños que tengan una deglución atípica o una hipotonía de la plancha bucal. Ejercicio de recolocación de la lengua para mejorar la deglución Se debe apretar o presionar la lengua contra el techo del paladar generando una contracción de la musculatura que hay debajo de la barbilla con lo cua ...

Odontología anomalias maloclusion ...

Maloclusion, una anomalía importante de estudiar a nivel odontológico, ya que es algo que se ha incrementado con el pasar del tiempo, es importante reconocerlo y poder corregirlo a tiempo a través de los distintos métodos que serán explicados a continuación; primeramente es importante conocer ciertas generalidades para entrar en lo que es la complejidad del tema que será explicado a continuación: ...

Odontología Pediatría anomalias ...

Maloclusion, una anomalía importante de estudiar a nivel odontológico, ya que es algo que se ha incrementado con el pasar del tiempo, es importante reconocerlo y poder corregirlo a tiempo a través de los distintos métodos que serán explicados a continuación; primeramente es importante conocer ciertas generalidades para entrar en lo que es la complejidad del tema que será explicado a continuación: ...

Temas Higiene Bucodental

La oclusión son todas aquellas situaciones y estructuras relacionadas que, de una manera estática o dinámica, establece relación entre el arco dentario superior e inferior.Articulación Témporomandibular o ATM Básicamente, de ella depende la oclusión. Las articulaciones cerebrales son sinertrósicas (inmoviles) pero la ATM es diartrósica (móvil). La superficie ósea superior de la ATM es el hueso Tem ...

Es muy común que hoy en día las personas vivan en constante estrés tanto físico como emocional, generando patologías que afectan diversos aspectos de su vida, entre ellas,  las patologías asociadas a la Articulación Temporomandibular o ATM, ya sea de origen orgánico o funcional, que afectan la deglución de alimentos, respiración, masticación, el habla e incluso las percepciones gustativas. Ocasion ...

Formación en Meditación

La meditación es la práctica de enfocar profundamente tu mente, lo que te llevará a la relajación, la atención plena y una mejor sensación de paz interior. Hay muchas formas de meditar. Una técnica es la meditación Vipassana, también conocida como meditación introspectiva. Con este método vipassana, practicas la auto-observación, enfocándote en tu yo interior sin juzgar. Al igual que otras formas ...