Visitar al dentista es muy importante, pues suelen dar la voz de alarma muchas veces sobre posibles enfermedades sistémicas (que afectan todo nuestro organismo) Es importante que prestes atención si suceden algunas de las cosas que mencionaremos a continuación en tu boca, para que estés alerta y no permitas que vaya a mas, quieres saber Qué dice tu boca de tu estado de salud?
Y la boca (dientes, encías, lengua) pueden arrojar mucha información acerca de nuestro estado de salud. Existe una relación muy estrecha entre la salud de nuestra boca y el estado de salud de nuestro cuerpo. Recuerda que nuestro organismo es una máquina que no trabaja sola, siempre existe una relación indirecta entre múltiples órganos como un engranaje, cuando algo falla y la cadena se rompe, empiezan a mostrarse síntomas de que algo no va bien.
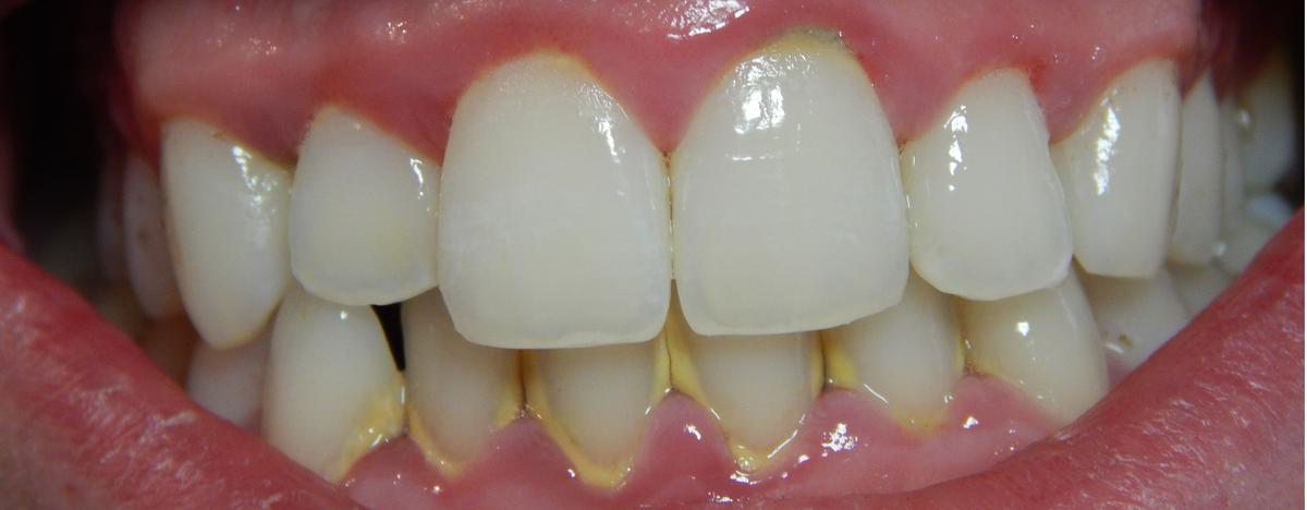
Síntomas a tener en cuenta
Encías inflamadas o sangrantes
Los procesos inflamatorios indican que algo no va bien, si tienes ginvivitis (inflamación de las encías) generalmente causada por mala higiene, caries y pérdida de piezas dentales, es necesario que tengas en cuenta lo que dijimos anteriormente. Enfermedades como la Diabetes, enfermedad renal, osteoporosis, o enfermedades cardiovasculares pueden dar por aviso esta inflamación en las encías. Esta inflamación crónica silente predice mejor la enfermedad cardiovascular que otros factores como cifras de colesterol o triglicéridos elevados.
Para predecir el riesgo de enfermedad cardiovascular suele desencadenar primero la pericoronitis (infección en las encías que rodean los molares) toma esto como un llamado de atención y de alerta.
También puede producirse por falta de vitamina C.
Qué dice tu boca de tu estado de salud?
Pérdida de piezas dentales
Perder varias piezas dentales cuando aún no estás en la tercera edad puede ser un síntoma temprano de osteoporosis (pérdida de masa ósea), y aumenta el riesgo de fractura de cadera o de muñeca en mujeres. Este riesgo aumenta cuando llega la menopausia, durante el embarazo, la pubertad o los días cercanos a la menstruación.
Estamos muy expuestas a perder masa ósea durante nuestra vida fértil. La manera mas adecuada para diagnosticarlo es a través de un examen la densiometría ósea, todos los cambios a los que se enfrentan las mujeres a partir de los 50 años dejan una huella, un antes y un después en nuestro cuerpo y en nuestra salud.
Hay mujeres que no tiene apenas síntomas, en cambio otras suelen tener un gran desequilibrio emocional, físico y de salud. Debes estar muy atenta si pierdes muchos dientes, puedes estar sufriendo una descalcificación muy alta, por lo que tu dieta debe ser rica en alimentos con calcio, fósforo y magnesio.
Úlceras en la lengua u comisuras en la boca
Tener estas comisuras en cada lado de nuestra boca es síntoma Déficit de Micronutrientes (vitaminas y minerales) puede ser a causa de anemia, déficit de vitamina C. Las dietas desequilibradas, una enfermedad reciente, o algunos medicamentos pueden desencadenar este déficit de micronutrientes.
Es importante e insisto! si quieres perder peso no pierdas salud!
Quieres perder peso con la Dieta+saludable? te puedes dar de alta por 10€/mes aquí
Diabetes
Las personas con Diabetes a veces no diagnosticadas pueden serlo a través de un examen con su dentista, ahora piensa un poco en lo siguiente: mantienes una buena higiene bucal, utilizas la hilo dental y aun así tienes bolsas de pus junto a los dientes o sufres una enfermedad periodontal de manera recurrente?. Estos síntomas pueden acusar el inicio de Diabetes. Debes saber que las personas con diabetes desarrollan entre 3 y 4 veces mas rápido esta enfermedad periodontal y lo mas acertado sería que te hicieran un análisis de glucosa sérica.
Niveles de glucosa inestales, causan que la primera línea de defensa de nuestro organismo baje la guardia y pierda su capacidad de actuación, los glóbulos blancos. Además de tener este problema en las encías también puedes sufrir boca seca, ardor en la boca o sentir un sabor dulce o mal aliento aún manteniendo una buena higiene diaria (aliento acetónico).
La salud de tu boca puede ser un primer síntoma de que algo no va bien, toma en cuenta estas recomendaciones no sólo para que decidas visitar a un dentista, también para sospechar frente a una posible consecuencia de que puede ser algo mas importante.
.


