La leucemia linfoblástica aguda (LLA) es una enfermedad maligna que se caracteriza por la proliferación incontrolada de un clon de células progenitoras o precursoras linfoides en distintos grados de diferenciación, por lo que las células blásticas anormales se van a cumular en la médula ósea y a sustituir los elementos hematopoyéticos normales, liberándose a la sangre periférica, diseminándose por todo el cuerpo e infiltrando todos los sistemas orgánicos.
La neoplasia que se presenta con mayor frecuencia en los niños es la leucemia linfoblástica aguda, representando el 75% de todas las leucemias que ocurren en la edad pediátrica y constituyendo el 25% de los tumores en dicha edad, su pico máximo de incidencia es entre los dos y los cinco años de edad, siendo más frecuente en niños de raza blanca que de raza negra y en varones en comparación con mujeres (1.2 a 1.3 veces).
Causa de la leucemia linfoblástica aguda:
Se cree que todos los lifoblastos con características malignas de los pacientes con leucemia linfoblástica aguda, provienen de una misma célula precursora anormal y es por este motivo que previamente se dijo que dicha leucemia representa una clona, lo que quiere decir que todas las células malignas tiene el mismo tipo de reacomodo genético, diferenciándose de cada paciente con leucemia linfoblástica aguda y de las células B y T normales.
Clasificación de la leucemia linfoblástica aguda:
La leucemia linfoblástica aguda puede clasificarse según dos parámetros, los cuales son los siguientes:
Según la apariencia de los linfoblastos leucémicos:
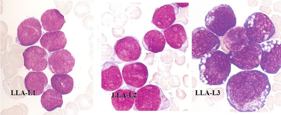
Esta clasificación de la leucemia linfoblástica aguda se basa en la clasificación francesa-americana-británica en donde los linfoblastos leucémicos se dividen en:
Linfoblastos L1: Estos son los tipos más frecuentes de células en niños con leucemia linfoblástica aguda, tienen un tamaño pequeño, con poco citoplasma y nucléolos que pueden estar ausentes o conspicuos.
Linfoblastos L2: Se presentan con menos frecuencia que los linfoblastos L1 y tienden a confundirse con mieloblastos por sus características similares, tienen un tamaño un poco más grande que el de las células L1, tienen abundante citoplasma y uno o más nucléolos prominentes.
Linfoblastos L3: Estos son muy raros y suelen presentarse en la leucemia linfoblástica aguda de células B maduras, son grandes, con un citoplasma vacuolado que capta intensa tinción basofílica y posee nucléolos prominentes.
Según su inmunofenotipo:
La leucemia linfoblástica aguda es considerada como un conjunto heterogéneo de neoplasias malignas que se caracterizan por el acumulo de células linfoides inmaduras (o no) detenidas en varias etapas del desarrollo, por lo que fundamentalmente desde el punto de vista inmunológico, la leucemia linfoblástica aguda se clasifica en dos grandes grupos: Las del estirpe linfoide B y T, pero cada una de ellas tiene subgrupos, los cuales son:
Leucemia linfoblástica aguda de células B:
Leucemia linfoblástica aguda de precursores de células B: Representa el 84% de los casos, en vista de que estas células B se detienen en parte de su desarrollo, son inmaduras y no producen inmunoglobulinas que se expresen en su superficie, quedando en el citoplasma.
Leucemia linfoblástica aguda de células B maduras: Sólo representa un 1% de los casos de leucemia linfoblástica aguda, estas son capaces de sintetizar inmunoglobulinas y expresarlas en su superficie, pero carecen de actividad transferasa terminal, se relaciona con el linfoma de Burkitt, con el cual comparte algunas manifestaciones clínicas.
Leucemia linfoblástica aguda de células T:
Esta representa el 15% de todas las lecucemias linfoblásticas agudas, en este grupo se incluyen la leucemia linfoblástica aguda por precursores de células T, la leucemia linfoblástica aguda de células tímicas de la corteza y por último la de células tímicas de la médula. Se reconocen que las células pertenecen al linaje T porque expresan varios antígenos de las células T, además de que el reacomodo genético del receptor para el antígeno de células T. Este tipo de leucemia linfoblástica aguda tiene un cuadro clínico característico, que es el siguiente:
Ocurren fuera del pico máximo de incidencia, en niños mayores y adolescentes.
Predomina en varones.
Valores altos de leucocitos, con regularidad por encima de 100.000/mm3.
Presencia de una masa en el mediastino anterior.
Hay propagación temprana hacia meninges y testículos.
A continuación se muestra un cuadro comparativo con los distintos tipos de leucemia linfoblástica aguda:
Manifestaciones clínicas de la leucemia linfoblástica aguda:
Las manifestaciones clínicas que presentan los niños con leucemia linfoblástica aguda se relacionan con la infiltración masiva de los linfoblastos en la médula ósea y los tejidos linfoides, junto con la consecuente expansión medular; los síntomas tienen una duración variable, que va desde días a meses y suelen ser muy inespecíficos, entre los cuales están desde mayor orden de frecuencia hasta los que se presentan con menor frecuencia:
Hepatomegalia.
Esplenomegalia.
Fiebre.
Adenopatías.
Astenia.
Dolor óseo y articular.
Como ya se mencionó, dichas manifestaciones son muy inespecíficas y pueden confundirse con otras patologías, por lo que es importante interrogar adecuadamente a los padres acerca de dichas manifestaciones y sus características.
Diagnóstico de la leucemia linfoblástica aguda:
Para establecer el diagnóstico de leucemia linfoblástica aguda en un niño no es suficiente con la sospecha clínica, ya que la mayoría de las neoplasias de este tipo se comportan de la misma forma, por lo que será necesario realizar estudios complementarios más especializados para establecer un diagnóstico certero.
Manifestaciones clínicas: Las mismas hacen sospechar de una leucemia aguda, se deben identificar ya sean síntomas o signos que son derivados del fracaso de la función hematopoyética de la médula ósea y de su infiltración.
Hematología completa: En la mayoría de los casos el hallazgo típico es la leucocitosis en conjunto con una bicitopenia (anemia y trombocitopenia).
Frotis de sangre periférico: En donde se identifican los linfoblastos.
Aspirado de médula ósea: El diagnóstico definitivo de una leucemia linfoblástica aguda se hace mediante el estudio citológico, inmunofenotípico y citogenético de la muestra obtenida mediante aspiración de la médula ósea; confirmándose el diagnóstico cuando el porcentaje de linfoblastos es superior al 25% de la celularidad total.
Pronóstico de los niños con leucemia linfoblástica aguda:
Tanto las manifestaciones clínicas como los hallazgos de laboratorio en un niño con leucemia linfoblástica aguda determinarán la probabilidad de que el mismo permanezca en remisión cuando se le administre el tratamiento antileucémico; esto se hace utilizando ciertos factores que incluyen la edad, el sexo, la carga de células leucémicas, el cariotipo, entre otros, para poder establecer el pronóstico. El Children´s Oncology Group tomando en cuenta dichos factores, asigna a los pacientes con leucemia linfoblástica aguda categorías pronosticas según el riesgo de recaída, que se agrupan en el siguiente cuadro:
*Los pacientes con riesgo estándar tienen una probabilidad de curación de un 85% o incluso más.
*Por otro lado, los pacientes con leucemia linfoblástica aguda con riesgo alto tienen menos del 70% de probabilidad de curarse.
*Otros de los factores que determinan el pronóstico:
Los factores que se asocian a un peor pronóstico en casos de leucemia linfoblástica aguda son la respuesta inadecuada o lenta al tratamiento y el sexo masculino.
En los casos de leucemia linfoblástica aguda de células B:
Factores de pronóstico favorable: Presencia de transcrito de fusión TEL-AML1 en las células leucémicas y la hiperdiploidía (sobre todo cuando existen 53 cromosomas o más en las células leucémicas).
Pronóstico de diagnóstico desfavorable: Relacionado con la seudodiplidía (por la presencia de transposiciones cromosómicas específicas de las células leucémicas como el cromosoma Filadelfia t9;22) y la hipodiploidía (presencia de menos de 46 cromosomas en las células leucémicas).
En los casos de leucemia linfoblástica aguda de células T:
Los niños con este tipo de leucemia tienen un pronóstico menos favorable, por lo que siempre se utiliza un tratamiento para población en alto riesgo.
Tratamiento de la leucemia linfoblástica aguda:
En vista de que la leucemia linfoblástica aguda es un grupo heterogéneo de alteraciones, no existe un régimen terapéutico específico y general, por el contrario, el mismo debe ser adaptado a cada niño con la patología y tomando en cuenta sus características, además del pronóstico; pero en líneas generales el tratamiento está divido en cuatro fases, que son las siguientes:
1.- Inducción de remisión:
Esta es la etapa inicial del tratamiento, resultando exitosa en más del 95% de los niños con leucemia linfoblástica aguda, su duración es de al menos cuatro semanas con las cuales se logra la mayor reducción citológica, son necesarios al menos tres fármacos (incluyen esteroides, vincristina y asparaginasa), agregándose antraciclinas en los niños que tienen alto riesgo de recaída. Es exitosa cuando:
La médula ósea demuestra una hematopoyesis normal.
Aspirado de médula ósea que demuestre menos del 0,1% de linfoblastos.
Valores de la hematología completa dentro de límites normales.
Manifestaciones clínicas asociadas a la leucemia ausentes.
2.- Consolidación-Intensificación:
Este es el régimen utilizado con el fin de prevenir recaídas sistémicas, el cual está diseñado para destruir células leucémicas adicionales, acompañado del tratamiento dirigido al sistema nervioso central para prevenir la recaída neurológica (tratamiento intratecal).
La radioterapia sólo se reserva para aquellos niños con alto riesgo de recaída y para aquellos en los cuales se confirmó la afección leucémica en el sistema nervioso central.
3.- Mantenimiento-Continuación:
Esta es la última fase del tratamiento de la leucemia linfoblástica aguda, la cual debe durar al menos dos o tres años; con esta se espera mantener la remisión alcanzada en fases previas del tratamiento y a su vez prevenir una recaída.
4.- Intensificación tardía:
Esta fase del tratamiento está diseñada para erradicar la presencia de cualquier célula leucémica que escapa a las fases anteriores del tratamiento, consiste en el tratamiento agresivo que se aplica una o dos veces durante el primer año del tratamiento.
Afortunadamente, la mayoría de los niños con leucemia linfoblástica aguda pasan por una remisión completa continua, siendo solo aproximadamente el 20% de ellos los que sufren una recaída, en estos casos resulta necesaria una quimioterapia de salvamento con la cual es muy probable curar a los niños.
La entrada Leucemia linfoblástica aguda y sus características en niños aparece primero en Mega Medico.



