7 Lesiones periapicales que debes conocer



patologia periapical
Lesiones periapicales, son lesiones que se encuentras alrededor o cercanas a los ápices (raíces) de una o varias unidades dentarias, algunas son de origen pulpar, otras no. Son causadas por otras patologías como lo es la caries, o la enfermedad periodontal. Generalmente la endodoncia es la encargada del estudio de este tipo de lesiones. En este tipo de lesiones generalmente ha habido afectación pulpar, que por lo general es lo que ocasiona esta irritación de la zona afectada, porque las bacterias que ingresan por este canal provocan un medio acido liberando toxinas que hacen que nuestro organismo genere una respuesta de antígeno – anticuerpo, provocando irritación, edema, congestión vascular, y presencia de gran cantidad de células de nuestro sistema inmune que se encargan de la mediación con microorganismos.
Sin embargo estas lesiones periapicales pueden darse también sin haber una afectación pulpar, existen otras vías de acceso de las bacterias para llegar a lo que es el peri ápice, como lo es el espacio del ligamento periodontal, cuando existe una patología como lo es la periodontitis, existe una afectación de lo que es ligamento periodontal lo que hace que se cree o se aumente este espacio del ligamento periodontal, que es el espacio que hay entre el ligamento periodontal  y el cemento radicular, haciéndose entonces así a través de ese espacio una puerta de entrada a las bacterias y microorganismos, logrando penetrar esa zona y ocasionando algunos daños.
Lesiones apicales
lesiones que se encuentran al rededor del ápice de un diente que provoca la destrucción del hueso y de todo tejido subyacente

Lesiones periapicales y sus tipos:
Lesiones periapicales agudas:
• Periodontitis apical aguda.
• Absceso apical agudo.
Lesiones periapicales crónicas.
• Periodontitis apical crónico.
• Granuloma (simple, epitelizado, y abscesado).
• Quiste periapical.

Lesiones periapicales diferentes vías de acceso.
• Vía pulpar.
• Vía periodontal.
• Vía endógena.
• Vía metastasica.
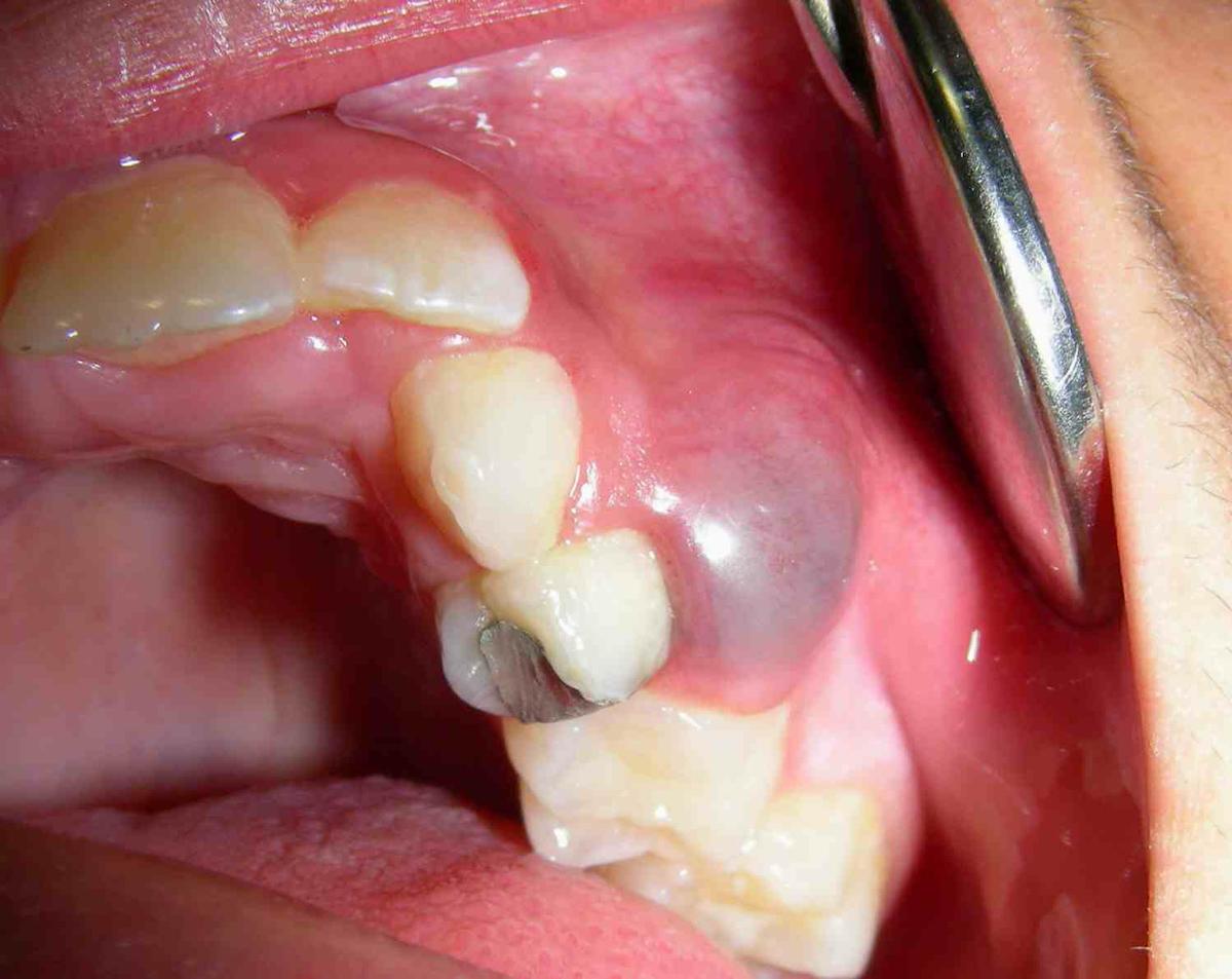
patologia periapical

Paciente masculino de 12 años de edad que presenta quiste dental observado clínicamente en la unidad dentaria 24
7 Lesiones periapicales que debes conocer.
1) Periodontitis apical aguda:
Se da cuando ocurre una inflamación del ligamento periodontal apical que suele ser aguda y dolorosa y de los tejidos que sostienen el diente, que puede que haya sido causado por irritación, trauma o infección, sin importar si la pulpa se encuentra con vitalidad o no.
En una periodontitis apical aguda suele haber edema, congestión de los vasos sanguíneos, infiltración de células polimorfas nucleares. Es una patología que evoluciona generalmente asintomática, puede ser dolorosa a la percusión o masticación, posiblemente crónica, es reparable totalmente, puede ser de dolor pulsátil, y posiblemente purulento.
La periodontitis apical puede ser causada por trauma oclusal, restauraciones por encima del plano de oclusión habitual, efecto de cuña de cualquier cuerpo extraño, traumatismo sobre algún diente, en dientes no vitales puede ser causada por secuelas de tratamientos radiculares, enfermedades pulpares, sobre extensión del material de obturación, perforación de la raíz, sobre instrumentación de los conductos.
Características radiográficas:
Especio del ligamento periodontal de aspecto normal, puede estar aumentado pero con discreta rareza a nivel periapical.
Tratamiento: se debe identificar la causa, y mejorar los síntomas que presente el paciente, de ser necesario tomar antiinflamatorios y analgésicos sistémicos. De ser por causa infección (microorganismos patógenos), apertura coronaria, medicación dentro del conducto radicular afectado, y antibióticos sistémicos. Es de pronóstico favorable.
2) Absceso apical agudo:
Es una colección purulenta localizada en el hueso alveolar que rodea el ápice del diente que ha sufrido un proceso inflamatorio, en esta patología histológicamente se puede observar presencia de leucocitos (glóbulos blancos), microorganismos piógenos, congestión, edema, infiltrado inflamatorio (polimorfonucleares). Este absceso tiene sinonimia con los abscesos agudo, dento alveolar agudo, periapical agudo, o radicular agudo.
Esta patología periapical es causada por trauma oclusal, invasión bacteriana, irritación química, o irritación mecánica. Histológicamente se encuentra infiltrado inflamatorio, y exudado inflamatorio.
3) Absceso fénix:
Es una reacción con inflamación aguda, sobre una lesión crónica que ya existe, cuando las lesiones crónicas permanecen en equilibrio son asintomáticas, cuando se da una baja en la defensas del organismo, estas pueden dispararse a una reacción aguda, dándose una reactivación de la lesión ya establecida. Histológicamente se observan áreas de necrosis por licuefacción, con leucocitos desintegrados, es de pronóstico bueno, y el tratamiento es el mismo que para un absceso agudo.
4) Periodontitis apical crónica:
Es la inflamación crónica y destrucción del periodonto apical, histológicamente se caracteriza por gran concentración de macrófagos, fibroblastos, células plasmáticas, linfocitos que intervienen en la reacción antígeno anticuerpo. Este tipo de lesiones son de crecimiento lento; se puede observar reabsorción ósea ocasionada por el tejido de granulación.
Radiográficamente se observa una imagen radiolucida bien definida, con pérdida de la continuidad de la lámina dura del hueso alveolar; generalmente no se consigue prueba positiva a las pruebas de vitalidad (percusión, palpación, temperatura, electricidad), es probable que se consiga sensible la mucosa de esa zona.
La periodontitis apical crónica es la evolución de un proceso agudo, puede originarse también sin haber existido antes un proceso agudo, aparece de forma repentina sin signos o características aparentes.
5) Granuloma apical:
Masa de tejido de granulación que se encuentra localizado a nivel del periodonto apical, se caracteriza por presentar células inflamatorias crónicas, neo capilares, fibroblastos, fibras colágenas, células epiteliales que derivan de los restos de Malassez.
Pueden ser granulomas simples, epitelizado, o abscesado (absceso apical crónico).
• Granuloma apical abscesado: es una colección purulenta dentro del granuloma, esto se da como consecuencia de un proceso de reagudización de la patología periapical. Tiene como sinónimos: periodontitis apical supurativa, absceso periapical crónico, absceso alveolar crónico, absceso dento alveolar crónico.
6) Quiste periapical:
Cavidad patológica que se encuentra rodeada de epitelio, la cual puede mantener material semisólido en su interior, y restos de celular. Son quistes odontogenicos que derivan de los restos epiteliales de Malassez, llamados quistes inflamatorios porque derivan de un granuloma apical preexistente.
7) Osteítis condensante:
Es una inflamación crónica leve del área periapical de una unidad dentaria, que se dio por una irritación moderada del conducto radicular, estimulando el aumento de la densidad del trabeculado óseo. Generalmente es ocasionado por enfermedades pulpares que estimulan la formación osteoblastica, los osteoblastos son células óseas formadoras de hueso.
Histológicamente pueden observarse células inflamatorias, linfocitos y células plasmáticas.
Una lesión periapical o perirradicular se divide en diferentes zonas llamadas Zonas de Fish.
Las zonas de fish se dividen en:
• Infección: es el lugar donde comenzó la infección, el sitio de entrada de los microorganismos. Aquí se observa un contenido necrótico, el conducto radicular está infectado, y hay colonización de bacterias, y la acumulación de neutrófilos es lo que da lugar a la supuración de la lesión radicular.
• Contaminación: zona donde se encuentra una inflamación crónica, donde los elementos celulares se encuentran activos como linfocitos y estos migran al lugar de defensa transformándose en macrófagos con la finalidad de diluir o fagocitar las toxinas que allí se encuentran.
• Irritación: encontramos presencia de histiocitos y osteoclastos, donde los histiocitos han destruido el colágeno y los osteoclastos han logrado destruir parte del hueso que se encuentra en esta zona.
• Estimulación: en esta zona está la presencia de nuevas celular formadoras como los son los fibroblastos y los osteoblastos, donde los fibroblastos se encargan de la formación de nuevas fibras colágenas, y los osteoblastos se encargan de densificar el hueso presente o formar nuevo hueso.
Las lesiones periapicales inflamatorias, están influenciadas por el número de microorganismos que invaden, sus características patógenas. Todas estas patologías periapicales o perirradiculares van a depender del agente agresor y la respuesta del huésped ante estos patógenos agresores. Es la respuesta que tiene nuestro organismo ante esta patología lo que va hacer que se desarrolle una u otra patología. Por esta razón es de gran importancia el conocimiento de las técnicas de cepillado, la higiene bucal, lo que es la caries y como actúa a nivel bucal, y las diferentes patologías como lo es la gingivitis y la periodontitis.
Te invitamos a leer mas sobre:

Técnicas de cepillado

Caries Dental

Gingivitis bacteriana

Periodontitis
La entrada 7 Lesiones periapicales que debes conocer aparece primero en Mega Medico.

¿Vulnera este post tus derechos? Pincha aquí.
Creado:
¿Qué te ha parecido esta idea?
Esta información nunca debe sustituir a la opinión de un médico. Ante cualquier duda, consulta con profesionales.

Esta idea proviene de:

Y estas son sus últimas ideas publicadas:

Recomendamos

Relacionado

Temas Higiene Bucodental

Las infecciones odontogénicas y sus complicaciones constituyen una patología muy frecuente del territorio maxilofacial. Estos procesos engloban un amplio espectro de entidades desde infecciones localizadas en el diente, como la pulpitis o la periodontitis, hasta infecciones graves diseminadas en los espacios faciales de cabeza y cuello, que pueden poner en peligro la vida del paciente. La incidenc ...

Actividad Fí­sica Fisioterapia Deportiva Técnicas de Fisioterapia ...

Las lesiones musculares son un mal muy común en los deportistas profesionales y no profesionales, sobre todo en los que no consideran la prevención como parte de su entrenamiento. Cabe destacar que en la mayoría de los casos, los tratamientos existentes puede suponer un alivio temporal del dolor, de manera que sigue siendo necesario acudir a un especialista que ayude a tratar el problema a fondo. ...

dolores comunes enfermedades adenoma hepático ...

Las enfermedades del hígado son aquellas patologías o condiciones que se asientan o afectan directamente a dicho órgano, el cual es el segundo más grande del cuerpo después de la piel. El hígado se localiza debajo del diafragma y las costillas, del lado derecho del abdomen, extendiéndose hacia el izquierdo y se divide en dos lóbulos, el izquierdo y el derecho. Cada uno de esos lóbulos está constit ...

Enfermedades causa de la enfermedad de crohn complicaciones de la enfermedad de crohn ...

La enfermedad de Crohn entra en el grupo de las enfermedades inflamatorias intestinales, las cuales se caracterizan por ser procesos inflamatorios crónicos e idiopáticos, es decir, de causa desconocida. Dichas enfermedades afectan principalmente al intestino pero también pueden afectar otras zonas. Aparte de la enfermedad de Crohn (EC), hay otras entidades que son enfermedades inflamatorias intest ...