Extirpan 232 dientes a un joven indio



Pues sí, 232 ni uno más ni uno menos, y ahora te explicamos por qué hablamos de extirpar y no de extraer. Según informa la BBC, el adolescente indio de 17 años de edad, Ashik Gaval, fue sometido a una operación descrita por los odontólogos que intervinieron en ella como un "récord mundial". Tuvo lugar en el Hospital de Bombay, donde la  directora del Departamento de Odontología, Sunanda Dhiware, declaró "la enfermedad de Ashik fue diagnosticada como un odontoma complejo, en el que una encía formaba muchos dientes en modo de un tumor benigno". Añadió a continuación que "al principio no podíamos cortar la encía, por lo que tuvimos que usar martillo y cincel para conseguirlo. Una vez abierta, empezaron a salir dientes como pequeñas perlas. Al principio los recogíamos, pero luego nos cansamos, llegamos a contar hasta 232". Dhiware declaró igualmente que "según la literatura médica sobre estos casos, el odontoma afecta a la mandíbula superior, habiéndose extraído 37 dientes en la operación con mayor número de ellos computado hasta la fecha". En el caso de Ashik, "el tumor estaba muy profundo en la mandíbula inferior y tenía decenas de dientes".

El padre del joven, Suresh Gavai, afirmó que su hijo se quejó hace un mes "por el dolor que sufría" y "me preocupaba que fuera un cáncer, por eso lo traje a Bombay". Estas declaraciones fueron recogidas por el diario local Mumbay Mirror. 

En Sildanblog hemos ahondado un poco más en esta enfermedad, y podemos decirte que hay 2 tipos de odontomas:

-complejo:  los tejidos dentarios y dientes aparecen de una forma desordenada y lo hacen en la zona posterior de la mandíbula inferior.

-compuesto: todos los tejidos dentarios se encuentran siguiendo un patrón más ordenado y se desarrolla habitualmente en la zona anterior del maxilar superior.

La edad de desarrollo de estos tumores es principalmente entre los 10 y los 20 años.

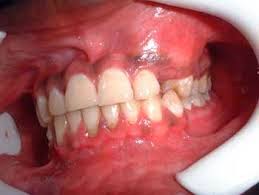
Te dejamos, ya para terminar, una foto de lo que sería un odontoma compuesto, donde puedes apreciar la zona tumoral en la encía que contiene los tejidos dentarios y dientes desarrollados en su interior.



En fin, que un nuevo caso insólito del que nos hacemos eco y algo nuevo que aprendemos, desde ahora el término odontoma a buen seguro que ya no nos resultará desconocido.



Fuente: este post proviene de Sildan, donde puedes consultar el contenido original.
¿Vulnera este post tus derechos? Pincha aquí.
Modificado:
¿Qué te ha parecido esta idea?
Esta información nunca debe sustituir a la opinión de un médico. Ante cualquier duda, consulta con profesionales.

Esta idea proviene de:

Y estas son sus últimas ideas publicadas:

Receta no, súper receta... Hoy os traigo una empatrampa, una empanada con trampa porque no sigue el método al uso para hacer una empanada tradicional, me la traigo de la web de Isasaweiss, la he versi ...

La pizza casera es probablemente una de las comidas que más buscamos los celiacos casi casi como buscamos el pan. Cuando estás acostumbrado a comer pizzas riquísimas, no te conformas con cualquier mas ...

Os traemos una receta clásica, la lasaña boloñesa, para que sea apta para celiacos y personas sensibles al gluten solo tenemos que utilizar placas de lasaña sin gluten y sustituir algún ingrediente co ...

Etiquetas: generalactualidad

Recomendamos

Relacionado

tabaco tabaquismo pasivo fumadores pasivos ...

Siempre estamos recordando lo importante que es cuidar la salud bucodental a todas las edades y acudir a revisiones periódicas. Sin embargo, no siempre es suficiente con mantener una buena higiene o una buena alimentación, en ocasiones otros factores están implicados, como el tabaco. Normalmente, cuando pensamos en cómo afecta el tabaco en a los dientes sólo pensamos en los fumadores pero, ¿sabías ...

Implantes dentales

¿Qué es la agenesia dental? Y sus tipos La agenesia dental es una condición en la que faltan dientes. La anodoncia es un trastorno genético que se define como la ausencia de todos los dientes. Suele ocurrir como parte de un síndrome que incluye otras anomalías. También son raras, pero más comunes que la anodoncia, la hipodoncia y la oligodoncia. La hipodoncia es de origen genético y suele implicar ...

salud boca dientes ...

Artículo original de Diferentes tipos de dientes - . Los dientes son estructuras calcificadas que se encuentran en la cavidad bucal. Se caracterizan por su color blanco (a veces un tanto amarillo) y su dureza. Tienen como función primordial la de ayudar a masticar los alimentos que entran a la boca dividiéndolos en pequeñas piezas que resultan más fáciles de digerir. Asimismo, los dientes juegan u ...

Periodoncia Salud bucodental Cálculo dental ...

El sarro en los dientes se conoce también como tártaro o cálculo dental y es uno de los problemas orales más comunes. El sarro se distingue por su color, que puede ir de blanquecino a pardo. Además los problemas estéticos derivados de su aspecto desagradable, su presencia puede traer consecuencias negativas para la salud oral. Una vez que la película de suciedad y residuos se calcifica y se endure ...

Odontología Salud blanqueamiento dental ...

Consigue unos dientes más blancos con blanqueamiento dental Casi un 70% de los españoles tienen los dientes oscurecidos, envejecidos o incluso manchados. Esto hace que interfiera en la imagen que proyectan con sus relaciones sociales debido a que los dientes que se ven en la sonrisa son poco estéticos. Por eso, cada vez más personas acuden a tratamientos de blanqueamiento dental. Las personas sonr ...

Curiosidades Salud currency trading ...

Este mal hábito puede afectar al intestino, las encías o la mandíbula. La estética es lo de menos. Piénsalo bien antes de volver a morderte las uñas, piensa en todos los gérmenes que se han ido acumulando bajo las mismas irán a parar a tu boca: un profundo análisis de las uñas de varios trabajadores de un hospital desveló que los gérmenes más frecuentes son el Staphylococcus y la Cándida, y ambos ...

remedios homeopaticos niños dolor primeros dientes denticion ...

Calmar al bebe cuando aparecen los primeros dientes es una tarea que a los padres suele preocupar. Si buscas un remedio natural, he encontrado para ti, el remedio que la homeopatía nos ofrece en los trastornos de la dentición. Los dientes que primero salen al bebé son los frontales inferiores, sobre los seis meses de edad aproximadamente. ¡Ya antes, van marcando con ciertos signos y comportamient ...

Odontología protesis dental protesis dental madrid ...

¿Qué es una prótesis dental? Una prótesis dental es un componente artificial que sirve para restaurar la anatomía de uno o varios dientes, devolviendo la completa funcionalidad de la boca. De este modo, el paciente podrá volver a masticar y dejar de sentir incomodidad por la falta de dientes. En Bonadent Madrid contamos con  especialistas en prótesis, para garantizar la mejor funcionalidad, soport ...

enfermedades comunes enfermedades bucodentales dolores comunes ...

Son muchos los motivos o costumbres que dañan tus dientes y que pueden hacer que nuestros hábitos relacionados con la salud dental no sean los más adecuados, como las vacaciones, comer fuera de casa o el ritmo acelerado de vida tan presente en nuestra sociedad. . Si crees que estas costumbres que dañan tus dientes son inofensivas te equivocas. aumentan el riesgo de caries y erosión dental, además ...

Blog Consejos

Hola!!! ¿A ti también te pasa que después de lavarte los dientes aún sientes que los tienes sucios? Ni el hilo dental ni los cepillos interdentales te ayudan a tener esa completa sensación de limpieza como cuando te la hace un profesional, eso es porque no conoces todavía el irrigador bucal o dental. El irrigador bucal es un aparatito maravilloso que junto con el cepillado dental te ayudará a tene ...