Antes de comenzar hablar sobre la gingivitis bacteriana; es importante conocer algunos aspectos básicos. La encía es la mucosa que reviste los dientes en modo de collar; cuidar las encías es tan importante como cuidar los dientes porque son estas las que se encargan de darles sostén y proteger los tejidos más profundos. La gingivitis es una enfermedad generalmente bacteriana que produce la inflamación y el sangrado de las encías, haciendo ver estas de un color rojizo, esta enfermedad es causada frecuentemente por la acumulación de restos de alimentos y mala higiene bucal, lo que a su vez produce la placa bacteriana.
(Placa dental microbiana, dentobacteriana, microbiana, bacteriana, biofilm, biopelicula)
La placa bacteriana es una acumulación variada de distintos tipos de bacterias que forman una capa o placa de consistencia blanda, mate, de color blanco-amarillento, que puede ser retirada fácilmente con el arrastre mecánico del cepillo dental, en esta placa es donde se van uniendo las bacterias entre si y se adhieren a las paredes de los dientes, estas bacterias producen ácidos con la finalidad de degradar los restos de alimentos que se encuentran en boca para conseguir los sustratos necesarios para sobrevivir y así persistir por mucho más tiempo sobre la superficie del diente y de esta manera ocasionan distintas complicaciones bucales como lo son: la caries, la gingivitis y la enfermedad periodontal. El cálculo dental es el depósito solido que se forma por la mineralización de la placa dental; por lo general está cubierto por la misma placa.
Etapas de la formación de la placa bacteriana.
1. Formación de la película.
Función: sirve como barrera protectora, lubricación de las superficies e impide la desecación del tejido, sustrato al cual se fijan las bacterias.
2. Colonización inicial de bacterias a la superficie dental
3. Colonización secundaria y maduración de la placa:
Gingivitis ocasionada por bacterias.
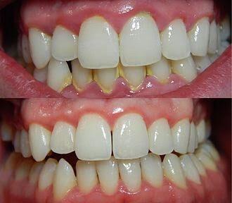
La gingivitis es la inflamación, enrojecimiento y sangrado de las encías, ocasionado por la acumulación de bacterias sobre la superficie de los dientes.
Es necesario saber que existen diferentes tipos de gingivitis asociadas o no a la placa bacteriana, y te las presentamos a continuación:
Tipos de gingivitis.
5 Indicadores para reconocer la gingivitis bacteriana
1) COLOR: si observas tus encías de color rojo o rojo azulado estas en presencia de una gingivitis, su color normal es rosado.
2) CONSISTENCIA: si la consistencia de tus encías es blanda debes estar alerta, su consistencia norma es firme.
3) TAMAÑO: si se encuentran agrandadas no es el tamaño ideal.
4) TEXTURA: normalmente la encía presenta un puntillado característico como la cascara de una naranja, cuando existen cambios destructivos por acumulo de placa bacteriana la encía suele observarse lisa y brillante.
5)SANGRADO: la hemorragia es uno de los signos iniciales más significativos de la inflamación. La encía sana no sangra, la presencia de sangrado es el primer signo de alerta para diagnosticar la enfermedad periodontal.
Efectos de la gingivitis bacteriana.
La gingivitis bacteriana es muy común, algunas personas no saben ni siquiera que padecen de esta enfermedad, puede tratarse simplemente con tener una excelente higiene bucal. Pero si la gingivitis es ignorada con el transcurso del tiempo puede hacer que las encías se retraigan, formando bolsas donde se hará más fácil la acumulación de bacterias, estas bacterias a su vez afectaran que se debiliten los tejidos profundos (ligamento, cemento radicular) y tejidos óseo (como las corticales) que son los que proporcionan el sostén del diente provocando a su vez la perdida de la estructura dentaria, o podría ocasionar que estas bacterias viajen a tejidos aún más profundos provocando la formación de fistulas, abscesos o celulitis bacteriana.
Como tratar la gingivitis bacteriana.
Principalmente para controlar la gingivitis bacteriana, se debe eliminar la totalidad de la placa bacteriana, calculo si se encuentra presente, en todas y cada una de las estructuras dentales y restauraciones defectuosas que faciliten la retención de placa bacteriana. Como complemento de este tratamiento realizado se debe educar al paciente sobre las técnicas de cepillado, como utilizar el cepillo dental y el hilo dental, utilizando también enjuagues bucales como refuerzo en el caso de gingivitis de larga data podría ser recomendado el uso de antibióticos; el cepillado se realiza siempre después de cada comida, ya que 30min después de comer es cuando comienza la formación de la biopelicula, y a su vez la formación de la placa bacteriana.
Es de gran importancia reconocer y tratar a tiempo la gingivitis bacteriana; así evitaremos grandes consecuencias a nivel bucal. Las bacterias elaboran productos nocivos a través de toda la cavidad bucal, el huésped neutraliza estos productos nocivos solo cuando existen pequeñas cantidades de placa, es decir, grandes cantidades de productos nocivos superarían la capacidad de el huésped de neutralizarlo. Solo cierta porción de la placa es patógena y su patogenicidad dependerá de la presencia o incremento de microorganismos específicos, con esto llegamos a la conclusión de que la placa bacteriana alberga patógenos específicos que causan la enfermedad periodontal ya que estos producen sustancias que median la destrucción de los tejidos del huésped. Según esta hipótesis la enfermedad periodontal va a depender de la eliminación de la placa acumulada en las superficies dentales, y eliminándola podrás preservar la salud de los tejidos tanto profundos como superficiales.
La enfermedad periodontal y sus consecuencias.
La enfermedad periodontal es cuando se ha establecido una gingivitis por larga data provocando la destrucción de los tejido circundantes de las estructuras dentales; destrucción ósea avanzada, migración apical de la encía protectora, afectación radicular, pudiendo ocasionar movilidad dentaria en cualquiera de sus grados hasta provocar la pérdida de una o más de las estructuras dentarias. Para la enfermedad periodontal es necesario conocer que existen distintos tipos de tratamientos, que van desde la educación del paciente, hasta una cirugía menor que pueda ayudar a restablecer la salud bucal del paciente para así lograr preservar las estructuras dentarias y la armonía facial.
Es de gran importancia mantener una excelente higiene oral y visitar periódicamente al odontólogo para prevenir muchas de estas enfermedades; personas no conocen sobre los efectos de la placa bacteriana cuando se le permite permanecer por largo tiempo sobre las superficies dentales; si sigues todas las indicaciones tendrás las herramientas para combatir la placa bacteriana y así gozar de salud y bienestar.
La entrada 5 Indicadores para reconocer si padeces de gingivitis bacteriana aparece primero en Mega Medico.


