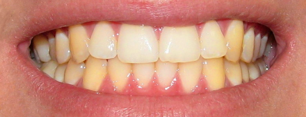
Remedio Natural Para los Dientes Amarillos





Dientes amarillos:

Use como pasta de dientes;
-2 cucharadas de bicarbonato,
-1 cucharadita de caolín o greda en polvo,
-1 cucharadita de sal,
-1 cucharadita de agua oxigenada líquida,
-1 cucharadita de ralladura de cáscara de limón.

Si no tiene alguno de los ingredientes, no se preocupe, cada uno es por sí sólo bueno.

Para obtener una pasta, puede agregar un poco de aceite de comer y/o esencia de menta.

Fuente: este post proviene de Salud diaria natural, donde puedes consultar el contenido original.
¿Vulnera este post tus derechos? Pincha aquí.
Creado:
¿Qué te ha parecido esta idea?
Esta información nunca debe sustituir a la opinión de un médico. Ante cualquier duda, consulta con profesionales.

Esta idea proviene de:

Y estas son sus últimas ideas publicadas:

¿Estás buscando un producto natural que tenga docenas de usos? ¿Está buscando un producto que no tenga efectos secundarios peligrosos? ¿Estás buscando un producto que no sea caro? Entonces aquí está t ...

Recomendamos