La fluorosis fue descrita por primera vez como esmalte moteado, se dice que es una hipoplasia o hipomaduracion del esmalte (falta de formación) Black. Y F. Mckay la describieron por primera vez, ellos descubrieron que estas manchas en los dientes de las personas tenían que ver por la descripción geográfica, y llegaron a la conclusión de que lo que causaba esta característica era alguna sustancia por lo que sugirieron que podía ser el agua; más sin embargo esto no se demostró sino hasta los años 1930-1940 que el agente causal de esta anomalía era el fluoruro.
El flúor es importante para la prevención de caries dental, por esta razón los odontólogos y los adultos deben encargarse de que los niños reciban la cantidad suficiente para proteger sus dientes, sin embargo la ingesta de altos niveles de flúor, produce la fluorosis dental.
¿Qué es el flúor?
Es un mineral que se encuentra distribuido en la naturaleza de manera extensa; alimentos y agua contienen concentraciones de flúor, este es utilizado para disminuir la prevalencia de caries en los habitantes.
Fuentes que proporcionan flúor:
• Bebidas, incluyendo el agua que consumimos.
• Todo alimento que sea procesado con agua que sea fluorada.
• Pasta de dientes y todos los productos utilizados para el uso de la higiene oral.
• Suplementos que contienen flúor, y a través del uso de flúor tópico (topificaciones).
¿Cómo trabaja el flúor?
Este mineral se concentra en los huesos en los dientes desde que naces y estas en ese proceso de crecimiento mientras eres niño, y ayuda a fortalecer el esmalte de los dientes antes de que erupcionen, en los adultos ayuda a endurecer el esmalte luego de haber erupcionado.
El flúor previene la caries de 2 formas: (proceso de desmineralización- remineralización)
1) Después de comer las bacterias que se encuentran en boca, generan ácidos que hacen que el pH de la saliva sea un pH acido, lo que ocasiona la desmineralización del esmalte, dejando así la superficie del diente más vulnerable a la caries dental.
2) Luego del cepillado la saliva entra en un pH neutro, lo que hace exactamente todo lo contrario entrando en un proceso de remineralización, reponiendo el calcio y el fosforo que fortalece los dientes, cuando el fluoruro está presente en la remineralización hace que estos minerales se tornen más fuertes de lo q eran antes.
¿Qué es la fluorosis?
Es una anomalía que se da en las unidades dentarias; por falta de maduración de la dentina o del esmalte durante el periodo de formación de un dientes, cuando se está expuesto a elevados niveles de consumo de flúor.
Esto se debe a la alteración de los ameloblastos cuando están en la etapa de la formación del diente, existe manifestación histológica de daño celular (matriz del esmalte) lo que hace que este defectuoso o deficiente, impidiendo la calcificación de esta matriz, y la sana formación del esmalte.
Clasificación de la fluorosis dental:
• Leve
• Moderada
• Avanzada
¿Cómo se si mi hijo tiene fluorosis?
Existen muchas razones por las cuales la coloración de sus dientes pueden cambiar, es por esto que lo más recomendable es que lo lleves a un dentista especialista; que pueda detectar fluorosis o algún otro problema que pueda existir.
¿Cómo puedo proteger los dientes de mi hijo de la fluorosis dental?
• Los niños que son menores de los 3 años de edad, deben utilizar muy poca cantidad de pasta dental que contenga flúor, para estos niños el límite de cepillado es hasta 2 veces por día.
• Los niños comprendidos entre las edades de 3 y 6 años deben usar la cantidad de pasta dental del tamaño de un guisante.
• Los niños más pequeños deben ser supervisados por un adulto en el momento del cepillado ya que ellos acostumbran a ingerir el agua y la pasta de dientes por instinto, deben ser alentados a escupir el exceso sin enjuagarse con agua.
• Se debe mantener todos los productos de uso bucal fuera del alcance de los niños para evitar que sean ingeridos por ellos.
• Se debe determinar si la principal fuente de agua esta fluorada.
• Se debe llevar al niño a consultas regulares una vez al año, luego de cumplir el primer año de edad.
10 Cosas que debes saber acerca la fluorosis dental
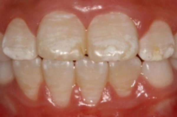
1) Inicia con cambios moderados que pueden observarse en la superficie del esmalte como zonas opacas blancas que van afectando la superficie del esmalte.
2) Este moteado puede observarse como manchas de color blanco en el esmalte cuando la ingesta de fluoruro ha sido moderada y ha comenzado a ocasionar daños.
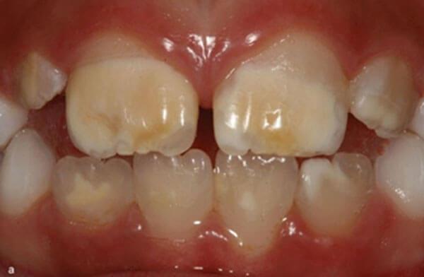
3) Cuando hay cambios de moderados a intensos se puede observar formación de fosas y cambios de una coloración blanca a una coloración parda de la superficie; esto puede desgastar o llegar a fracturar el esmalte.
4) Las pastas dentales deben tener una concentración de 1500ppm de flúor para los adultos como máximo. Los niños deben utilizar pastas dentales específicamente hechas para ellos con una concentración menor de 1000ppm de flúor, para evitar los altos niveles de consumo de flúor.
5) Consumir flúor después de los 8 años de edad no puede causar fluorosis.
6) Las estructuras dentarias afectadas con la fluorosis; en algunas ocasiones presentan dificultades para mantener o sostener las restauraciones.
7) Altos niveles de flúor en el agua puede ocasionar la fluorosis, es por esta razón que las personas de algunas zonas geográficas estas más susceptibles de padecer esta anomalía.
8) También puede ser consumido a través de la sal, es de gran importancia conocer el nivel de flúor del agua de tu comunidad, para así saber qué tipo de sal puedes utilizar, de ser elevado, tienes la opción de utilizar sales no fluoradas que venden en el mercado.
9) El mayor riesgo ocurre desde el nacimiento hasta los 8 años de edad.
10) Puedes prevenir la aparición de fluorosis dental en tu comunidad, pidiendo la evaluación de los niveles de flúor en el agua a los entes pertinentes, de esta manera se puede evitar que los más pequeños sufran de esta anomalía en el futuro.
Fluorosis vs caries dental.
En esta comparación podemos decir; la caries dental es la enfermedad más evitable en los niños, después de haber evaluado la exposición que un niño puede tener ante el flúor, en algunos países es incontrolable los niveles de flúor en el agua; más sin embargo la caries dental puede ser prevenida de muchas maneras, buena higiene bucal, técnicas del cepillado, poca ingesta de alimentos pegajosos como dulces, galletas, chicles.
Te recomiendo leer mas sobre: caries dental
¿Cómo prevenir la fluorosis?
• Debes asesorarte sobre el correcto uso de los productos dentales y sus indicaciones.
• Evitar el uso de enjuague bucal en niños menores de 6 años.
• Conocer los niveles de flúor en el agua de tu comunidad, para poder valorar el riesgo de salud bucal dentro de la misma y orientar a los habitantes.
• Se pueden indicar suplementos, luego de haber valorado el riesgo de salud bucal de la comunidad.
• Comunicarse con un centro se asistencia odontológica.
¿Cuáles son los posibles tratamientos para la fluorosis?
Como ya sabemos para todos y cada uno de nosotros, la estética es de gran importancia y siempre buscamos vernos bien, y sentirnos bien con nosotros mismos. La fluorosis es una anomalía no una enfermedad, puede mejorar la apariencia de tus dientes a través de blanqueamientos dentales, carillas estéticas, coronas, puentes fijos; más sin embargo tus dientes siempre se seguirán moteándose porque es algo que sucedió en el momento de la formación de tus dientes.
La entrada 10 Cosas que debes saber acerca de la fluorosis. aparece primero en Mega Medico.


