Heces felinas podrían combatir el cáncer

Hace algunas semanas les hablaba que el café más caro del mundo proviene de las heces felinas, pues parece que el desperdicio de los gatos tiene un beneficio para la humanidad muy grande: contener la cura para el cáncer.

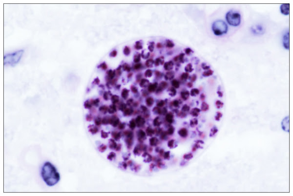
Toxoplasma gondii
En la Escuela de Medicina Geisel del Centro Médico Dartmouth-Hitchcock (EE.UU), descubrieron que el parásito Toxoplasma gondii que vive en el intestino de los gatos posee propiedades anticancerígenas, esto al generar una respuesta en el cuerpo humano para crear células que combaten el cáncer, pero también podría dañar severamente el sistema inmunológico, por lo cual se han detenido las pruebas en humanos, además de que el parásito también es causante de la Toxoplasmosis.

Sin embargo, para contrarrestar los efectos negativos anteriormente mencionados, se está utilizando otro organismo, el "cps", que funciona como una especie de vacuna o anticuerpo. Las células ya con "cps" serán devueltas al paciente para generar las respuestas inmunes para erradicar las células cancerosas y proporcionar inmunidad de por vida contra cualquier repetición del cáncer.

¿Qué tal? Una ventaja más de nuestros amados felinos.

Fuente: este post proviene de Ayuda Felina, donde puedes consultar el contenido original.
¿Vulnera este post tus derechos? Pincha aquí.
Creado:
¿Qué te ha parecido esta idea?
Esta información nunca debe sustituir a la opinión de un médico. Ante cualquier duda, consulta con profesionales.

Esta idea proviene de:

Y estas son sus últimas ideas publicadas:

La agilidad y elasticidad de los gatos les permiten dar diferentes tipos de saltos de acuerdo a la situación que se presente: Brinco.- Cuando un gato va a hacer un brinco, utiliza los músculos de las ...

¿Cómo saber si es gatita o gatito? La pubertad en los gatos. El apareamiento. ¿Cómo saber si es gatita o gatito? Cuando tienen poco tiempo de nacidos es muy difícil distinguir el sexo de los gatitos, ...

La Casona de los Gatos (leyenda mexicana). El Rei dels Gats (leyenda catalana). El Rey de los Gatos (leyenda inglesa). Ngariman (leyenda australiana). El gato y el Arca de Noé (leyenda bíblica). L ...

Etiquetas: noticiassalud

Recomendamos